30 december rond 8 uur in de avond..
Mojo, onze Amerikaanse Stafford pup van 4,5 maand wou even naar buiten.
Wij hebben een mooie afgeschermde tuin met schuttingen waar hij graag even zich wil uitleven met een bal of iets dergelijks.
Hij is nog maar net in de tuin, of ze beginnen bij het blok huizen achter ons ineens vuurwerk af te steken, wat dus precies over onze schutting heen komt.
Mojo kreeg de schrik van z'n leven en wou met een rot gang naar binnen rennen, en is daardoor in volle vaart tegen het deur kozijn aan geknald.
Helemaal in paniek zat hij in huis, heel erg trillen, staart tussen z'n benen, mar beest

Toen hij wat rustiger was zag ik dat hij op 3 poten liep, z'n rechter achterpoot hield hij van de grond af, dus in eerste instantie dacht ik; misschien wel iets verrekt omdat hij natuurlijk met zo'n vaart naar binnen is gerend.
Gelijk z'n hele been gevoeld, maar kon zo op het eerste oog niks vinden. Was nergens dik en ook niet echt gevoelig. Dus dacht kijk wel even aan hoe het gaat.
De volgende ochtend liep hij nog steeds op 3 benen, en was z'n knie ook iets voller dan de andere. Dus toch maar even voor de zekerheid naar de dierenarts.
Daar aangekomen ging de DA gelijk z'n hele been onderzoeken, en kwam inderdaad uit bij de knie. Maar vanaf de buitenkant kun je natuurlijk niet veel zien, dus raadde zij aan om een röntgenfoto te maken.
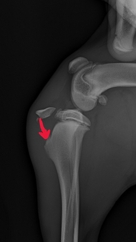
En toen pas ontdekten we de ellende

Z'n knie was Door de klap gebroken, je ziet op de foto heel duidelijk het los zittende stuk bot, en met de pijl de plaats aangegeven waar het bot normaal gesproken hoort te zitten:

Bij de dierenarts praktijk waar we de foto hebben laten maken kunnen ze niet dit soort operaties uitvoeren, dus werden we doorverwezen naar een andere dierenkliniek waar het wel kon.
We konden gelukkig diezelfde dag op oudjaarsdag dus nog terecht voor de operatie.
We zijn gelijk die kant opgereden.
Daar aangekomen werden we heel fijn ontvangen, echt super mensen daar!!
We kregen de uitleg wat ze tijdens de operatie precies gingen doen, en we kregen gelukkig te horen dat de kans op herstel 100% is omdat het nog een jonge hond is.
Zooo fijn om te horen!!
Mo werd naar achteren gebracht zodat hij rustig op z'n gebakje kon wachten tot ze aan hem toe waren met de operatie.
Gelukkig kon hij de nacht daar ook blijven, zodat hij het minste last had van het vuurwerk tijdens oud en nieuw, en met de beste specialisten die hem op z'n gemak konden stellen als hij wel bang was

Rond 9 uur in de avond werden we gebeld dat de operatie heel goed was verlopen,en hij al lekker lag bij te komen van de narcose.
De volgende dag mochten we hem weer ophalen,hij was heel erg blij om ons te zien!!
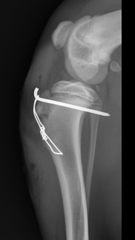
Ze hebben tijdens de operatie een ijzeren pin er in gezet met een stuk ijzerdraad, die het bot weer op z'n plek moet houden.
Hij mag z'n pootje licht belasten, en moet wat vaker dan anders korte stukjes er op lopen, en hij doet het echt super goed!

Met 4 week moeten we weer een röntgenfoto laten maken hoe het bot er uit ziet,en dan een afspraak maken om de pin weer operatief te laten verwijderen.
Echt, ik had nooit een grote hekel aan vuurwerk, maar ze mogen het wat mij betreft nu wel afschaffen!!!
Zo ziet z'n poot er nu uit:
.