Heel erg bedankt voor alle lieve woorden van steun en medeleven, zo fijn en waardevol om te lezen!
We voelen ons echt gebroken, we zijn zo enorm verdrietig. Het is zo moeilijk zo'n jonge en bijzondere hond los te laten. Ze was een heel belangrijk onderdeel van ons gezin.
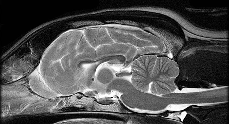
Mijn gevoel zei al wel dat het een hersentumor was maar dat het zo erg zou zijn en dat haar wakker laten worden eigenlijk niet meer veilig/verantwoord was had ik niet ingeschat. Had nog wel gedacht haar levend weer mee te kunnen nemen en (met de juiste medicatie) nog dit weekend had om na te denken over bestralen of inslapen. Gelukkig zijn we wel bij haar gebleven tot ze in slaap was van de narcose, ze is rustig in mijn armen in slaap gevallen. En daarna bij het inslapen waren we er natuurlijk ook bij maar toen was ze al heel ver weg.
Voor de meiden (de jongste is zes en opgegroeid met en gek op Nala) was het ook heel verdrietig. Die waren met zijn drietjes thuis en dan is Arnhem echt een rot eind weg vanuit Friesland... We hadden de meiden gister avond gelukkig wel heel bewust afscheid laten nemen omdat ik al wel bang was dat Nala misschien niet uit de narcose zou komen dus daar waren we wel blij om.
Maar het is echt verschrikkelijk dat ze er niet meer is, onze andere hond is er ook helemaal van af. Hij is altijd bij haar geweest... Nala ligt nu nog in haar mandje op de bank en de andere hond blijft maar steeds bij haar kijken en tegen haar aan liggen, hartverscheurend. Ze laat een enorm gat achter in ons gezin.
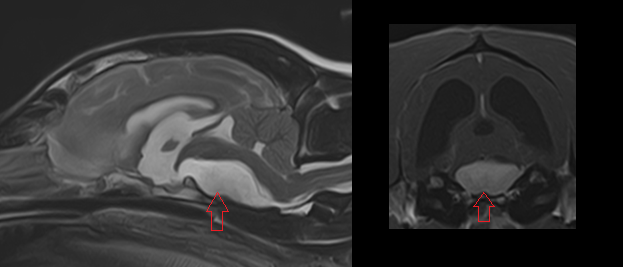
We hebben twee MRI foto's ook binnen, boven zie je gezonde hersenen ter vergelijk en onder de hersenen van Nala met de enorme tumor die alles verdrukt:
