Gewrichtsontsteking pony

Moderators: Neonlight, C_arola, Firelight, Sica, Dyonne, NadjaNadja, balance, Essie73

Toevoegen aan eigen berichten
 
 
Billyensis
Berichten: 17
Geregistreerd: 18-12-24

Gewrichtsontsteking pony

Link naar dit bericht Geplaatst door de TopicStarter : Vandaag, 12:48

Hoi allemaal.
In oktober 25 was mijn pony licht kreupel aan het kogelgewricht links voor. Dit was vooral in draf te zien. Week metacam en het was beter. Half november was het echter slecht. Er is een echo en röntgenfoto genomen. De echo heb ik niet maar de röntgenfoto's wel. Doc zei ontsteking kogelgewricht. Dus wederom op metacam. Het mank lopen was vooral te zien op de volte als het slechte been aan de buitenkant zat. December en januari blijvend metacam gegeven en in februari afgebouwd naar nul omdat het zogezegd over was. Ik stuurde wekelijks een filmpje naar de doc. Je kan al raden... Het is terug. Zelfde symptomen. Ook de buigproef was negatief.
Ik pieker mij suf. Ik rij niet met de pony. Ze loopt 24/7 gewoon buiten bij mij thuis met mijn pony van 25. Zij is 14.

Van de röntgenfoto's kan ik persoonlijk niets maken. Is er iemand die hier advies in heeft? Doc zegt wrs mistrapt maar ik vind dit raar dat ze dit nu wéér heeft... In 14jaar heeft ze dit nog niet gehad...

Billyensis
Berichten: 17
Geregistreerd: 18-12-24

Re: Gewrichtsontsteking pony

Link naar dit bericht Geplaatst door de TopicStarter : Vandaag, 12:55

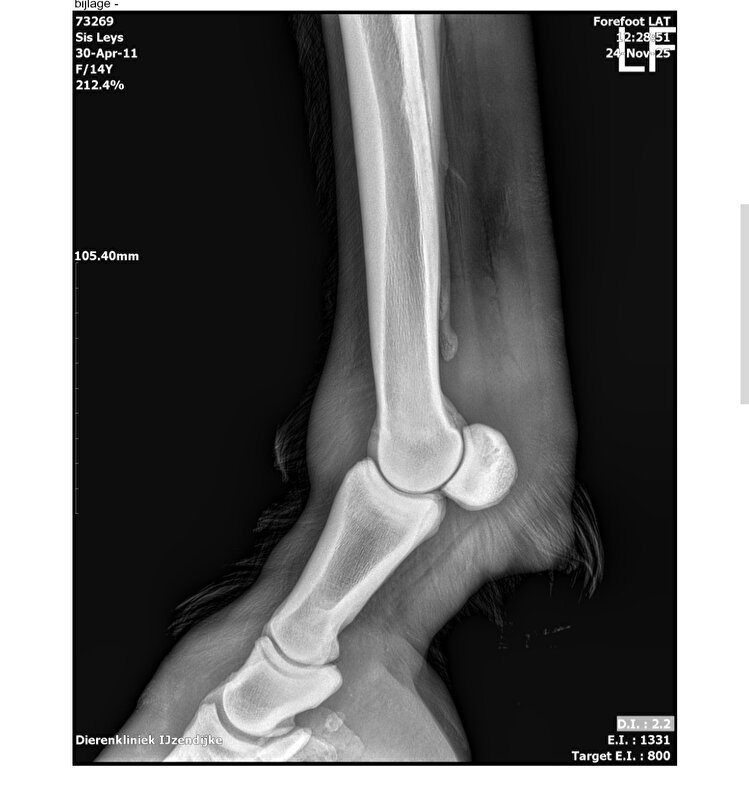
Afbeelding

Billyensis
Berichten: 17
Geregistreerd: 18-12-24

Link naar dit bericht Geplaatst door de TopicStarter : Vandaag, 12:56

Afbeelding

Elisa2

Berichten: 48901
Geregistreerd: 31-08-04

Re: Gewrichtsontsteking pony

Link naar dit bericht Geplaatst: Vandaag, 14:01

Ik denk dat de diagnose niet klopt, er zit iets wat het in stand houdt kennelijk. Ik zou een second opinion vragen bij een andere dierenarts.

Marije_97
Berichten: 139
Geregistreerd: 18-03-26

Re: Gewrichtsontsteking pony

Link naar dit bericht Geplaatst: Vandaag, 14:05

Die fotos zien er heel goed uit. Ik zou inderdaad ook even een second opinion vragen. En ik vind zomaar pijnstillers voorschrijven ook wel wat apart bij een gewrichtsontsteking (volgens mij is dit vaak gewoon beginnende artrose? Correct me if I'm wrong). Ik had dan liever voor het inspuiten van het gewricht gekozen om direct bij probleem plek te kunnen behandelen.

Billyensis
Berichten: 17
Geregistreerd: 18-12-24

Link naar dit bericht Geplaatst door de TopicStarter : Vandaag, 14:11

Over artrose is er niet gesproken omdat dit zou te zien zijn op een foto...

Billyensis
Berichten: 17
Geregistreerd: 18-12-24

Re: Gewrichtsontsteking pony

Link naar dit bericht Geplaatst door de TopicStarter : Vandaag, 14:14

Ik zou misschien ook denken dat het vorige keer niet volledig genezen was. Het gewricht voelt wat opgezet, niet warm. Wel duidelijke gallen.

AM01
Berichten: 154
Geregistreerd: 25-09-10

Re: Gewrichtsontsteking pony

Link naar dit bericht Geplaatst: Vandaag, 14:47

Buiten been op volte kreupel is bewegingskreupelheid en meestal geen belastingskreupelheid. Is eerder een pees- of spierproblemen dan een gewrichtsprobleem.

Billyensis
Berichten: 17
Geregistreerd: 18-12-24

Re: Gewrichtsontsteking pony

Link naar dit bericht Geplaatst door de TopicStarter : Vandaag, 14:51

Ja dat had ik ook al gelezen. Ik ga maandag naar mijn DA om de uitslag van de echografie en dan toch maar eens een andere DA laten komen...

Marije_97
Berichten: 139
Geregistreerd: 18-03-26

Link naar dit bericht Geplaatst: Vandaag, 16:11

Billyensis schreef:
Over artrose is er niet gesproken omdat dit zou te zien zijn op een foto...


Daarom benoem ik het ook. Ik heb zelf vermoedelijk beginnende artrose in mijn knie. Dit word irritatie en ontsteking genoemd (wel door trauma)

Billyensis
Berichten: 17
Geregistreerd: 18-12-24

Link naar dit bericht Geplaatst door de TopicStarter : Vandaag, 16:15

Zouden ze het begin van arthrose dan niet zien op de röntgenfoto's? Ik heb ook arthrose op mijn rug dat zien ze op foto's. Pony loopt niet stok kreupel als je het niet weet zie je het niet. Behalve op draf en op de volte dan...

Marije_97
Berichten: 139
Geregistreerd: 18-03-26

Link naar dit bericht Geplaatst: Vandaag, 16:18

Billyensis schreef:
Zouden ze het begin van arthrose dan niet zien op de röntgenfoto's? Ik heb ook arthrose op mijn rug dat zien ze op foto's. Pony loopt niet stok kreupel als je het niet weet zie je het niet. Behalve op draf en op de volte dan...


Ja dat zie je en paard hoeft ook niet stok kreupel te zijn voor artrose. Ik ben zelf ook totaal niet mank, maar heb wel pijn soms. Mijn paard heeft artrose in de kogel en heeft hier over het algemeen geen last van.

Ik denk dat een second opinion bij bijvoorbeeld een kliniek geen kwaad kan. Als het niet verbeterd heeft metacam geen zin om te geven maar moet je opzoek naar de oorzaak en de oorzaak aanpakken.

Popstra
Berichten: 16759
Geregistreerd: 21-06-08

Link naar dit bericht Geplaatst: Vandaag, 17:35

Het gewricht ziet er mooi uit op de foto. Als het ontstoken zou zijn dan zou er waterdunne gewrichts vloeistof uit komen als men er een naald in steekt om te infiltreren met hyarulon en een steroide om de ontsteking te genezen.
Dit gewrichtsvocht moet stroperig zijn om het te smeren namelijk.
Als dit waterdun blijft dan raakt het gewricht beschadigd en dat is dan artrose

Billyensis
Berichten: 17
Geregistreerd: 18-12-24

Link naar dit bericht Geplaatst door de TopicStarter : Vandaag, 17:53

Ja ik ga een second opinion vragen. Foto's zijn er eind november gemaakt toen het slechter was dan nu. Mijn huidige doc spreekt niet over inspuitingen met wat dan ook. Ik vind dit ook raar. Op de foto's en echo was blijkbaar geen arthrose te zien.