Moderators: Essie73, Coby, balance, Firelight, Dyonne, Neonlight, Sica, NadjaNadja, C_arola




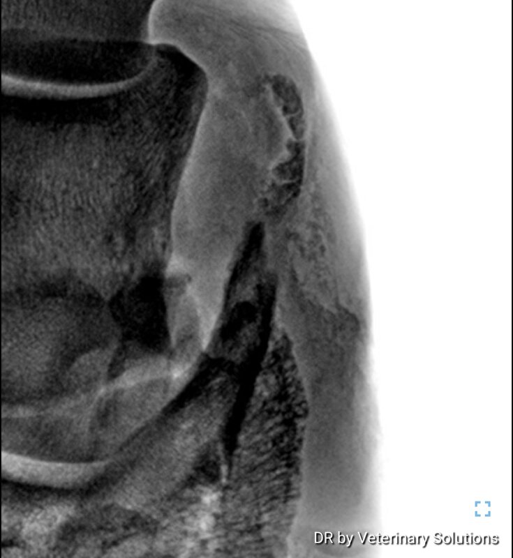
zefiros schreef:Hier best erge verbening vh hoefkraakbeen beide hoeven.
Ijzers met alleen leertje hielp iets. Je zag meer ontspanning in het lichaam. Nu met siliconen en ijzers loopt ze aanzienlijk beter op.. probeer ik voorzichtig onder het zadel weer eea.
Ze liep op het zachte niet zichtbaar kreupel. Maar op het harde.. poeh
Jet schreef:Wil je even goed kijken welke siliconen er tussen gaan? Ik ben erg benieuwd of die van Hoof-Pack of iets anders zijn.
Hopelijk werkt het voldoende en blijven de ijzers zitten!