Ik zoek naar wat ervaringen op het gebied van een griffelbeen breuk.
Hierbij mijn verhaal:
Zo’n 7 weken geleden liep ze ook nog een forse schaafwond op met een dik been, i.o.m. dierenarts hebben wij haar enkele dagen metacam gegeven en rust (staat 24/7 in kudde verband met tot. 4 paarden) daar ze toen ook goed kreupel liep en een flinke zwelling had. Na zo’n 1,5 week liep ze weer goed soms iets kortere pas met dat been maar is het rijden voorzichtig opgepakt. Na het rijden was zwelling zo goed als weg behalve op de plek van de wond/breuk. Maar na 3 weken bleef het toch dik waarna de DA foto’ s is komen maken en er toch een griffelbeen breuk zat. Nu gaf ze aan dat de kans erg groot was dat dit wel weer zou genezen met gedegen rust. Nu is er geen mogelijkheid op mijn stal ook i.c.m. met mijn paard dat ze echt op box rust kon maar wel gescheiden met 1 paard op een verharding met slaapstal zodat ze rustig bleven. Dit gebeurden ook wel want meteen de andere been wordt dik doordat ze daar lymfebeschadiging heeft wat ze alleen krijgt met bosrust/weinig bewegen.
Na 4 weken (in totaal dus 7 weken na wond) opnieuw foto’s gemaakt, blijkt wel wat beweging in te zitten gaven ze aan, geen botwoekering, dus eigenlijk nog week 6 weken bosrust en dan opnieuw foto en evt. scan maken van pees. Het nadeel alleen nu is dat alle paarden ook weer op het land gaan en ze niet rustig in der afgezette graspaddocks blijft staan dus besloten haar opbouwend met de groep mee te laten gaan zo’n 2 uurtjes per dag waarbij ze miss 5 tot 10 minuten in de eentje druk is. Daarnaast wel weer apart met het andere paard.
Ze geven aan dat er alsnog een kans is dat het aan elkaar groeit omdat er beweging in zit, maar de kans op operatie ook alsnog blijft wat hun zelf niet kunnen uitvoeren.
Mijn paard staat 24/7 in een kudde staat en dat haar apart in een box zetten geen optie is hier is de stal gewoonweg niet voor ingericht, helemaal niet nu ze weer langzaamaan het land aan het opbouwen zijn. En verhuizen tijdelijk naar een andere stal brengt ook heel veel stress met zich mee, helaas heb ik er 2 keer verhuisd en dan is ze echt over der toeren. Daarnaast slaat ze ook tegen muren aan, ze heeft ongeveer een half jaartje in een box gestaan namelijk.
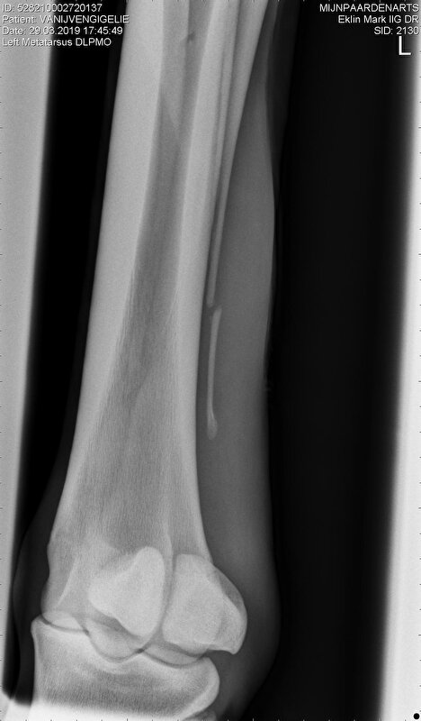
Hierbij de foto's degene die ik naast elkaar gezet heb is links van 5 maart en rechts van 29 maart.



Links dus 5 mrt en rechts 29 mrt

