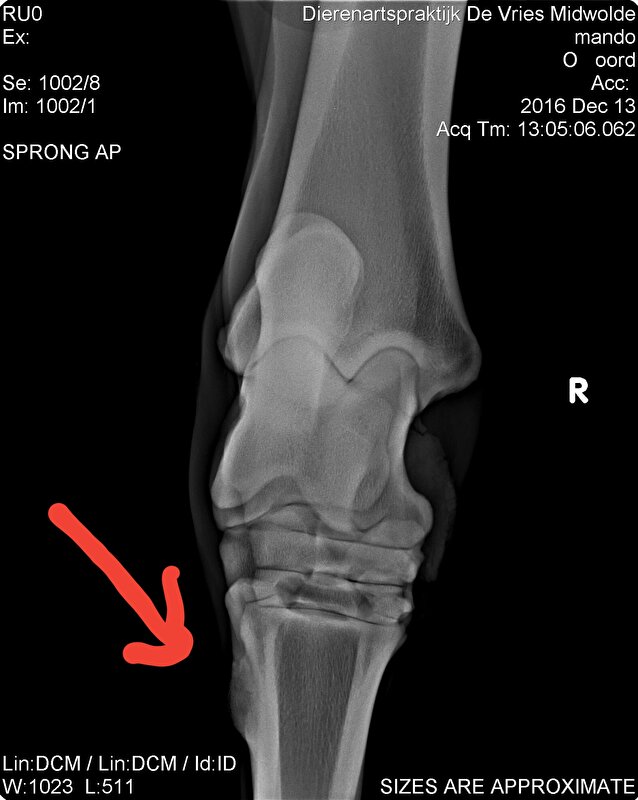
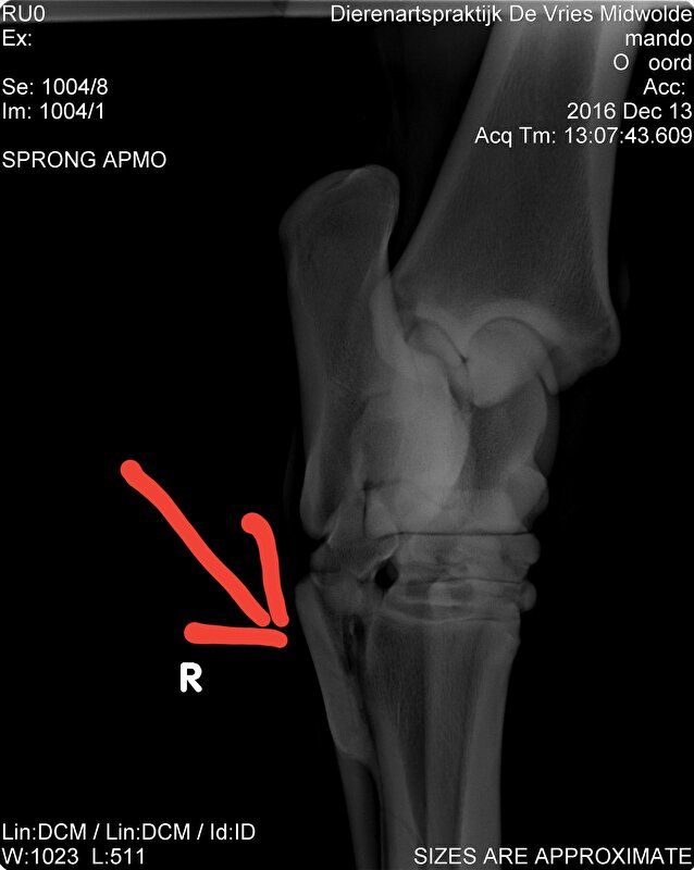
De mijne heeft achter een schiefel zitten.
Had hij al eerder gehad op die plek nooit geen last van gehad totdat hij waarschijnlijk in het land weer een tik erop had gehad.
Loopt soms rad soms niet.
Hij staat op aspirine nu en doet het daar goed op.
Mijn da zei.. kijk hoe hij aanvoelt voelt het goed gewoon trainen voelt het niet goed dan rustig aan.
Omdat het achter zit mag hij van mij niet meer springen of kleine voltes.
Hier zie je hem zitten


Ik heb hem verder niet laten behandelen het zal er niet door weg gaan en zolang hij het goed doet en geen pijn heeft vind ik het goed