Moderators: Essie73, Coby, balance, Firelight, Dyonne, Neonlight, Sica, NadjaNadja, C_arola

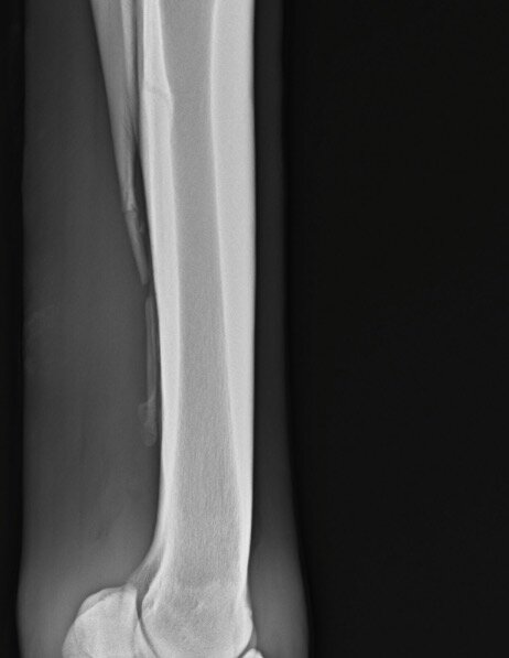
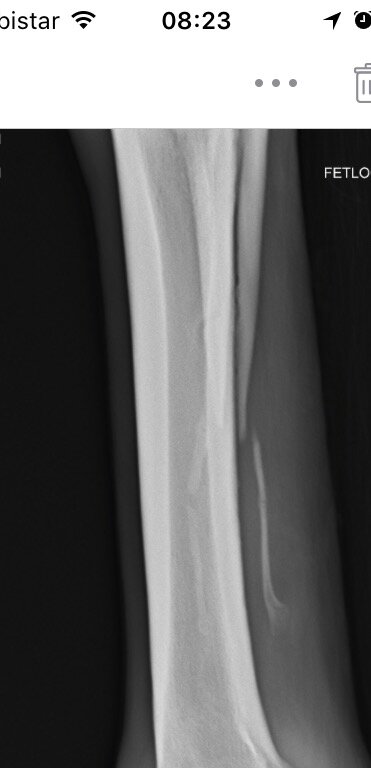
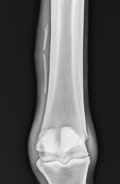
Ibbel schreef:Ik kan me niet voorstellen wat er mis zou kunnen gaan of wat de contra-indicaties van een operatie aan het griffelbeentje zouden kunnen zijn. Gebroken griffelbeentjes genezen niet, het afgebroken deel zal na verloop van tijd wel ingekapseld worden, maar dan heb je een los botfragment onderhuids zitten wat op allerlei structuren kan gaan drukken.
Ik zou zeggen: ga voor een second opinion naar een goede kliniek, want ik vind dit een vreemd advies.
Ibbel schreef:Ik kan me niet voorstellen wat er mis zou kunnen gaan of wat de contra-indicaties van een operatie aan het griffelbeentje zouden kunnen zijn. Gebroken griffelbeentjes genezen niet, het afgebroken deel zal na verloop van tijd wel ingekapseld worden, maar dan heb je een los botfragment onderhuids zitten wat op allerlei structuren kan gaan drukken.
Ik zou zeggen: ga voor een second opinion naar een goede kliniek, want ik vind dit een vreemd advies.



Cowgirl schreef:Ik zou die foto's opsturen naar een goede paardenkliniek en hun een oordeel laten maken.
Het ziet er behoorlijk heftig uit alhoewel ik ooit eens foto's gezien heb van en paard waarbij het gewoon verbrijzeld was..Daar konden ze niks mee, paard zou blijvende schade houden. Dier is dan ook ingeslapen.