Omdat ik mijn ei kwijt wil over m'n paard en om de voortgang bij te houden, leek het me interessant om een volgtopic bij te houden.
Even voorstellen:
Babs is een 9-jarige KWPN merrie
De situatie:
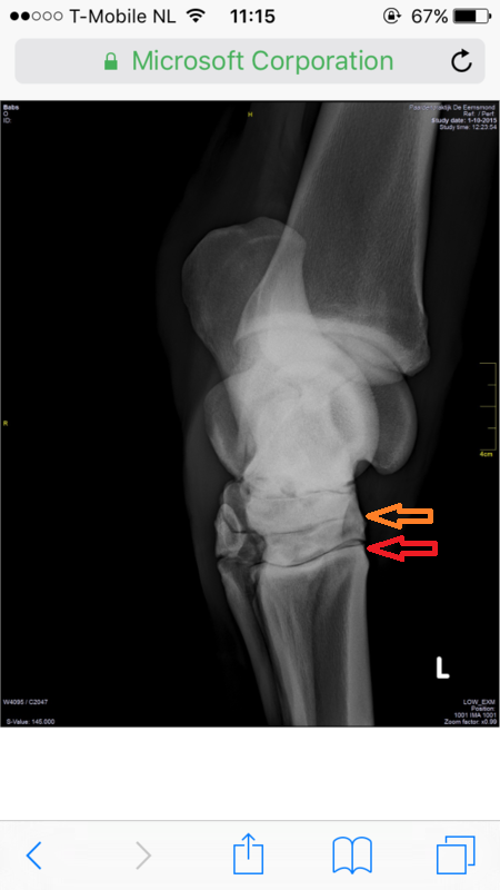
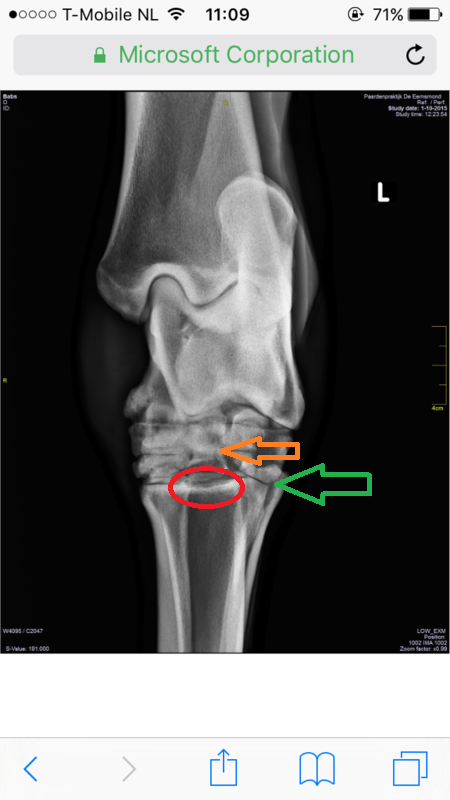
Babs was nooit makkelijk met haar achterbenen en soms ietwat stijf, maar toen ik haar heb laten keuren, bleek dit geen probleem. Ook de buigproef is ze doorgekomen en verder nooit kreupel geweest. Maar sinds eind augustus liep Babs kreupel, eerst hebben we het even aangekeken, maar het werd niet beter, daarom hebben we besloten haar op de foto te zetten, daar kwam uit dat ze spat heeft en een wat ernstigere vorm. Ook vertelde de dierenarts dat ze al spat had, maar dat, dat vergroeid is, waar ze nu last van heeft is "nieuwe" spat met botoplossingen. Babs loopt op het moment behoorlijk kreupel, maar is verder zichzelf, lekker actief en alert.
Behandeling:
De behandeling die de dierenarts voorschrijft is een cortisone injectie in het been in combinatie met een tildren infuus en pijnstillers. Ik wil alleen graag een second opinion, omdat de werking van tildren niet altijd gegarandeerd is, hiervoor ga ik een afspraak maken met een andere dierenarts om de opties open te houden. Uiteindelijk zal ik de "beste" behandeling kiezen.
Foto's:
Voor degene die benieuwd zijn naar de foto's


Door middel van dit topic wil ik jullie op de hoogte houden over de voortgang van Babs haar proces
