Ik heb een vraagje over röntgenfoto's. Dit gaat over een aard dat we willen kopen.
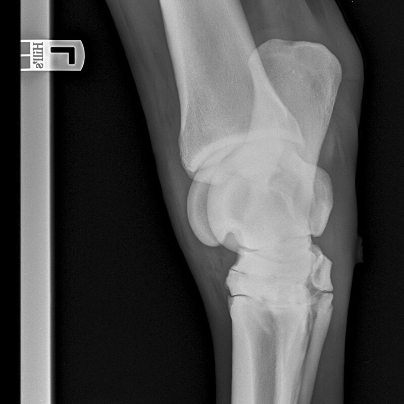
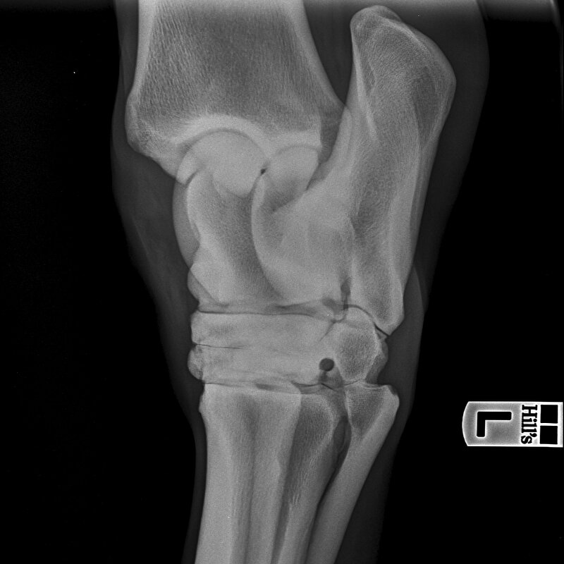
Het gaat over de sprong links achter dit paard heeft hiervoor een 3 gekregen.


Zelf heb ik geen verstand van foto's en heb ze laten beoordelen door twee artsen de eerste zegt
avulsie fragment in kogel LA in mijn optiek acceptabel beoordeling verhoogd risico.
Voor second opinion tweede arts gevraagd en die zegt ocd niet acceptabel.
Nu weet ik niet zo goed wat te doen heeft iemand ervaring met ocd?
En is het goed te verhelpen als ze er last van krijgen?
Het gaat om een fok merrie van 8 jaar niet bereden, we willen haar zowel voor fokkerij als afstandsritten rijden gebruiken.
Als iemand iets meer info of ervaringen heeft hoor ik het graag.
Alvast bedankt.
Dit is de merrie
