Suzanne F. schreef:Ik denk dat de kreupelheid voor komt door linksachter (het zwarte been) maar ik ben inmiddels wel heel benieuwd wat de kliniek vindt.
Als het probleem linksvoor had gezeten dan had hij rechtsom op het harde veel pijnlijker moeten zijn.
Mijn Deurne docent hoefsmid Houdel zou zeggen, linksom kreupel en rechtsom minder tot niet kreupel
zeer waarschijnlijk belasting kreupel.
Kreupelheid kan gewoon verdraaid moeilijk te diagnosticeren zijn. Dat blijkt wel in dit topic.
Morgen kijk ik hoe ze loopt, mocht het hetzelfde zijn ga ik kijken of ik vrijdag bij de kliniek een afspraak kan maken. Maar zo los zie je niets, ze gaat in volle galop de wei door, komt aangerend voor een worteltje.. Dus ben benieuwd wat er morgen en eventueel vrijdag uitkomt.
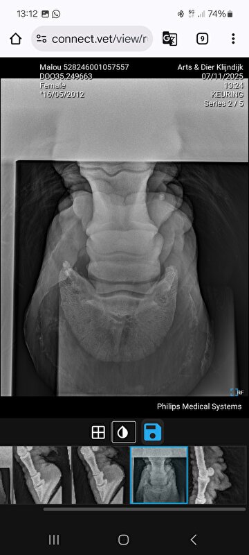
. Na aanleiding van de filmpjes die in dit topic staan gaan we voor de zekerheid nu foto's maken van de voorbenen. 


