Moderators: Essie73, Coby, balance, Firelight, Dyonne, Neonlight, Sica, NadjaNadja, C_arola
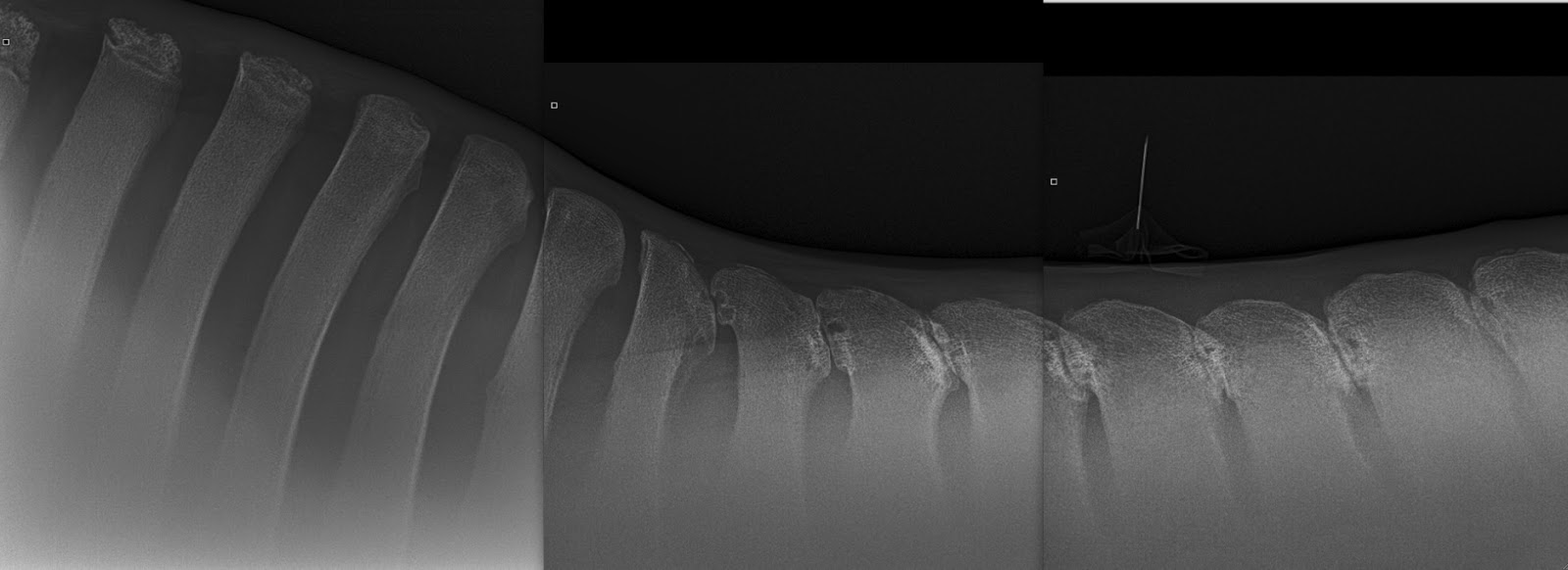
Quir schreef:Dat is geen kraakbeen. Dat zijn epifysair schijven, ofwel groei schijven. Kraakbeen zie je niet p de foto
Ik heb denk ik nog wel foto's van normale schoft. Zal even kijken
Edit: van Google.
http://3.bp.blogspot.com/-O2nHSbsp1pA/U ... gether.jpg
hoogendroog schreef:Heeft het dier mogelijk een keer vast gezeten onder de voorstang van de trailer. Ik weet -helaas- uit ervaring dat je dan ook zo'n beeld kunt krijgen.
Liesje89 schreef:Er ging vorig jaar ook een bericht in de rondte over slecht passende dekens en trauma op/voor de schoft maar ik kan me eigenlijk niet voorstellen dat een deken zulke schade aan kan richten.
Misschien een natuurlijke dekking gehad die nogal lomp verlopen is?

Mandarijn12 schreef:De eerste drie jaar zijn eigenlijk niet heel relevant, want in de 6 jaar daarna was er niets aan de hand. Hoe ze zich toen onder het zadel gedroeg is absoluut niet vergelijkbaar met nu. De amazone van toen is een paar maanden geleden komen rijden en ze herkende de merrie niet meer terug, ipv snel was ze nu wat flegmatisch. Toen dachten we dat het door de 2 veulens kwam, dat ze wat tammer was geworden. Bij degene van wie ik haar heb gekocht was ze ook traag, relaxed. Tussen die 2 zit een gat van driekwart jaar en ik heb al heel veel geprobeerd, maar ik kan maar niet achterhalen waar ze toen heeft gestaan.
Ibbel schreef:Het snellere (vluchtende?) en bokkerige van de jongere jaren kan imo ook duiden op pijn. Bij zo'n trauma heb je verschillende stadia: acuut, met de bijbehorende pijn, daarna inkapselen en resorptie (geen pijn) en nu necrose en inzakken - met als gevolg opnieuw pijn. Zou zomaar kunnen verklaren dat er een periode met klachten (afgedaan als jong, rillerig, snel, bokkerig) over het hoofd is gezien in de jonge jaren. Daarna gestabiliseerd en geen klachten (reactie pony: hèhè, geen pijn meer, eindelijk rust; gevolg: flegmatiek), en nu verder gedegenereerd waarbij opnieuw pijn optreedt, bv omdat er nu ook zenuwen klem komen te zitten, net als bij KS.
