Moderators: Essie73, Coby, balance, Firelight, Dyonne, Neonlight, Sica, NadjaNadja, C_arola
Taucha schreef:Ik denk dat je het beste je paard nu meteen al 24 uur op een grote weide kan zetten. Zoals al hiervoor genoemd, in een paddock komt er te veel belasting op de voorbenen. Het argument dat het een erg werkwillig paard is is onzin, ook een paard dat graag wilt werken zal zich na een paar dagen erbij neerleggen dat ie niets hoeft te doen en heel comfortabel tot grazer evolueren (oh nee dat zijn ze al, wij hebben er iets anders van gemaakt) Tijdens dat grazen krijgen de aangedane weefsels precies genoeg beweging om te herstellen zonder overmatige belasting.
Taucha schreef:Gebaseerd op de duur van revalidatie na mijn eigen operatie en blessure is er veel te snel alweer iets gevraagd van het paard.
Al is er aan de spieren en pezen niets gedaan, het heeft open gelegen en er is botschade en dus ook het kraakbeen is niet in orde. Dit is dus heel anders dan een nieuwe knie waarbij de gewrichtsvlakken juist weer helemaal in orde gemaakt zijn en er dus vrijwel meteen relatief pijnvrij bewogen kan/moet worden!
Het herstel van beschadigd kraakbeen duurt veel langer dan de gestelde 6 weken. Voor dit zo dusdanig genezen is dat je weer iets van het paard kunt gaan vragen ben je al snel een half jaar verder, zo niet een jaar.
Ik denk dat je het beste je paard nu meteen al 24 uur op een grote weide kan zetten. Zoals al hiervoor genoemd, in een paddock komt er te veel belasting op de voorbenen. Het argument dat het een erg werkwillig paard is is onzin, ook een paard dat graag wilt werken zal zich na een paar dagen erbij neerleggen dat ie niets hoeft te doen en heel comfortabel tot grazer evolueren (oh nee dat zijn ze al, wij hebben er iets anders van gemaakt) Tijdens dat grazen krijgen de aangedane weefsels precies genoeg beweging om te herstellen zonder overmatige belasting.
Tevens zou je als extra nog glucosamine bij kunnen voeren. Maar dit is in principe niet nodig als je hem de tijd geeft om te herstellen.
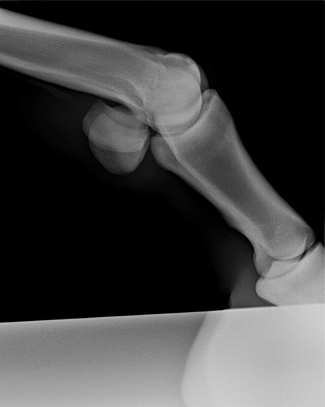
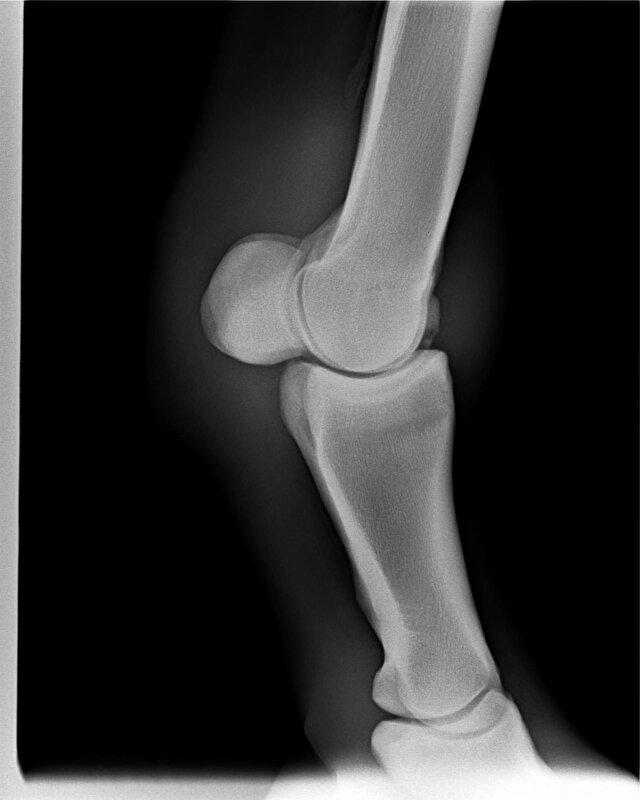
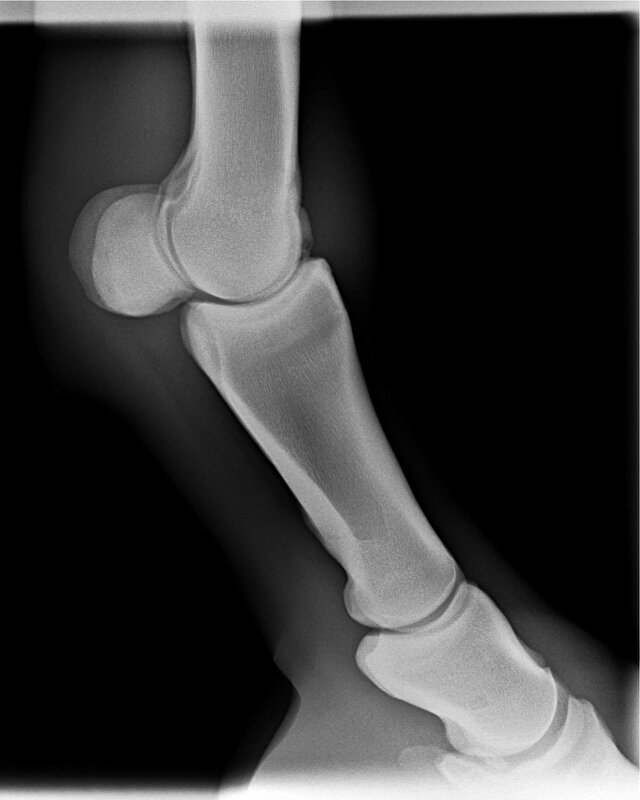
Babootje schreef:Het lastige is dat kraakbeen vrijwel niet herstelt als het eenmaal kapot is. Het groeit niet "aan elkaar".
Het regeneratief vermogen is dus beperkt. De enige nu gebruikte behandeling voor regeneratie van kraakbeen is PRP (plaatjes rijk plasma). Een injectie van geprepareerd eigen bloed van het paard in het gewricht. (In het fysiologische proces van wondgenezing dienen bloedplaatjes, welke in het bloedstolsel aanwezig zijn, als primaire bron van biologisch actieve factoren. Bij het gebruik van PRP’s worden suprafysiologische concentraties bereikt van de hierboven genoemde groeifactoren die het reparatieproces door directe en indirecte mechanismen bevorderen)
Mijn paard had ook al wat schade in het gewricht. Gedurende de operatie (mijn dochter was erbij) leek dat best groot gezien de krassen die te zien waren) maar in de praktijk viel dat reuze mee. Tijdens de operatie is dat via de camera natuurlijk erg uitvergroot. De chip was ook maar klein. Normaal gesproken, bij een chipoperatie, nemen ze middels een kijkoperatie het chipje weg (arthrectomie). Dit is een vrij standaard en simpele operatie. Paarden zijn dan ook weer snel op de been. Inderdaad met een week of 6 is het dan wel klaar. Mijn paard loopt dermate goed, dat een PRP behandeling niet nodig was.
Bij mij hebben ze ook alleen maar de chip hoeven uitnemen.
Ik heb de indruk dat het botfragment bij het paard van TS dus vrij groot was. Gezien men ook het bot heeft moeten vlakken. Dan is de schade in het gewricht ook groter. Mogelijk zo groot dat geen herstel meer mogelijk is. Hoe lang je het paard ook rust geeft. Ik kan me niet precies visualiseren hoe het bij haar paard precies zit, maar dit is wat ik ervan weet.
Nu gaat het onderzoek naar kraakbeenherstel wel erg snel en mogelijk is er binnen een aantal jaren wel een betere behandeling. Ik weet wel dat onderzoek naar stamceltherapie bij kraakbeen (kraakbeenmatjes) nu in een soort pilotfase is beland.



hoogendroog schreef:Je kunt ook overwegen je paard tijdelijk elders onder te brengen, waar hij/ij wel op de weide kan. Wij hebben destijds een paard met een zware peesblessure bij Buenavista (hier op Bokt) gebracht in februari. Daar mocht ie de gehele dag op de wei, wat bij ons thuis helaas niet kon (te nat).
Overigens moet een paard boxrust hebben na een ocd operatie omdat de gewrichtvloeistof moet worden aangevuld (dit heb ik eerder in dit topic al gezegd). Deze vloeistof verdwijnt tijdens het spoelen van het gewricht bij de operatie. De synovia zorgt voor smering tussen de gewrichten, als deze er niet of onvoldoende is, krijg je frictie in het gewricht. Je krijgt immers bot op bot. Daarom moet het lichaam de tijd krijgen om de vloeistof aan te vullen en moet het in die tijd zo veel mogelijk onbelast blijven (vandaar de boxrust).
tengeltje11 schreef:ik volg wie hier zegt dat zo'n operatie/blessure toch nooit in 6 weken opgelost kan zijn?
zo'n paard hoort nu gewoon op een weide gegooid te worden,en daar minstens een half jaar tot een jaar op zijn/haar gemak kunnen revalideren.
zo hebben ze tijd om te herstellen en automatisch stilletjes aan sterker worden.
EliseXJoelle schreef:Je zegt dat je paard nu niet de wei in kan ivm niet weideseizoen? Is een andere stal (tijdelijk) dan niet een oplossing waar ze jaarrond 24/7 buiten kunnen bewegen? Er zijn ook revalidatie stallen (volgensmij Lelymare heeft daar ook opties voor en hebben ook kuddes 24/7 buiten op de weide jaarrond dacht ik)
Je paard zal daar echt rustiger van worden, omdat hij heel de dag kan bewegen. Voordeel van 24/7 buiten dan bepaald hij ook zelf wat kan en niet kan. Onbelast werken is beter dan belast.
Na het revalidatie stuk zou ik volgend jaar eens kijken naar werken aan de hand, dat voordat je er op gaat hij al goed over 4 benen loopt en je het zwakke been niet hinderd.
No_No schreef:Dus je hebt het er voor over dat het waarschijnlijk nooit een rijpaard gaat worden?
Ze is werkwillig, wat wil je dan met haar doen om haar tussen haar oren ook te blijven uitdagen?
**typo**
Elisa2 schreef:Ik begrijp je wel hoor qua verhuizing, dat is ook stress allemaal inderdaad. Ik denk dat het goed is als je haar het weideseizoen gewoon lekker op de wei laat herstellen, en het is fijn dat ze nu alvast rustig wat kan opbouwen in de paddock.
Verder zou ik dus gewoon na het weideseizoen kijken hoe het dan gaat, maar ik ben het wel met mijn voorgangers eens dat dit dier gewoon een langere rustperiode nodig heeft.
Rizette schreef:Paard wat je op de wei zet hoef je niet uit te dagen. Die leeft zijn leven Alleen maar zorgen dat het voermanegement o.k. is. Dus niet veel te veel of veel te weinig. Paarden voelen zich daar prima bij.Zeker na een periode om te wennen.
hoogendroog schreef:Het probleem zit toch helemaal niet in de spieren...