Puppy erbij 2019

Moderators: Essie73, NadjaNadja, Muiz, Telpeva, ynskek, Ladybird, Polly

Toevoegen aan eigen berichten
 
 
kiwiwitje

Berichten: 20684
Geregistreerd: 22-08-09
Woonplaats: Vught

Re: Puppy erbij 2019

Link naar dit bericht Geplaatst door de TopicStarter : 13-05-19 14:08

Hier ook werpkist met stangen. Maar die gingen er hier uit toen de oogjes open waren omdat ze toen ook echt meer gingen “scharrelen”.

De kist kunnen de pups niet uit, is strak dus ze kunnen nergens onder of tussen verstopt raken. Makkelijk schoonmaken en mama kan er makkelijk uit wanneer ze wil. Zo’n badje snap ik de logica niet van. Maar daar zal de fokker vast een reden voor hebben..

Zoe_97

Berichten: 9536
Geregistreerd: 18-11-10
Woonplaats: België

Re: Puppy erbij 2019

Link naar dit bericht Geplaatst: 13-05-19 14:09

deze randen kunnendat niet voorkomen denies. doodlig stangen f die houte "plankjes" die je in de meeste werpkinsten vindt. zorgen dat pups daar onderin rollen als de moeder erop gaat liggen en dan kunnen de pups nog ademen en er onderuit kruipen. in een zwebadje kunnen de pups wel gewoon verstikken. :)

xDenies

Berichten: 14156
Geregistreerd: 29-01-08

Re: Puppy erbij 2019

Link naar dit bericht Geplaatst: 13-05-19 14:11

Ik had gevraagd om geen meningen, maar helaas is dat weer lastig :) Ik ga er verder niet meer op reageren. Ze zal er een goede reden voor hebben om het zo te doen.

Zoe_97

Berichten: 9536
Geregistreerd: 18-11-10
Woonplaats: België

Re: Puppy erbij 2019

Link naar dit bericht Geplaatst: 13-05-19 14:18

geloof me dat is geen menin maar bezorgdheid ;)
Je wil niet weten hoeveel moederhonden er op hun pups gaan liggen.

Vrolijkere noot :p
Mijn weekend was erg leuk :D Met vrienden met de mobilhome naar luxemburg naar de grote show geweest. Aelynn werd is een sterke klas 2e met ene veelbelovend, het teefje dat 1e was en aelynn zijn erg aan elkaar gewaagd want de vorige 2 shows was aelynn 1 en zij 2.
En ijn knappe cooper mocht voor het eerst in de veteranen klasse. Hij heeft zijn klasse gewonnen en is beste veteraan van eht ras geworden :D hij is nu luxemburgs veteranen kampioen 2019 :D

xLaraaj

Berichten: 3708
Geregistreerd: 18-02-14
Woonplaats: België

Re: Puppy erbij 2019

Link naar dit bericht Geplaatst: 13-05-19 14:20

Knappe Coop Coop kampioen *\o/*

Had het dus blijkbaar echt niet goed verstaan.. met "in het badje bevallen" had ik dus verstaan met wat water in, zoals dat bij mensen ook soms gedaan wordt :+

kiwiwitje

Berichten: 20684
Geregistreerd: 22-08-09
Woonplaats: Vught

Re: Puppy erbij 2019

Link naar dit bericht Geplaatst door de TopicStarter : 13-05-19 14:21

Gefeliciteerd Zoe!
T zal me verbazen als Djessey het op show ook zo goed gaat doen :')

Nynkster

Berichten: 5372
Geregistreerd: 04-03-12
Woonplaats: Exloo (Drenthe)

Link naar dit bericht Geplaatst: 13-05-19 14:31

xLaraaj schreef:
Knappe Coop Coop kampioen *\o/*

Had het dus blijkbaar echt niet goed verstaan.. met "in het badje bevallen" had ik dus verstaan met wat water in, zoals dat bij mensen ook soms gedaan wordt :+


Je was niet de enige hoor :Y)
Ik vind het wel interessant, denk dat iedereen zn eigen redenen wel heeft dus daar laat ik me niet over uit.
Maar vind het wel leuk om weer nieuwe dingen te leren, ik weet echt eigenlijk niks over bevallingen van honden enzo :7

biggirl

Berichten: 1394
Geregistreerd: 02-10-13
Woonplaats: zuid-limburg

Link naar dit bericht Geplaatst: 13-05-19 14:40

xLaraaj schreef:
Gefeliciteerd met de pups Denies !

Wat ziet jouw pup er goed uit biggirl! Zijn vacht lijkt ook wel bijna volledig hersteld he ?


Dankjewel ! En jaa haar vacht op de neus is bijna helemaal terug gegroeid :)

KimD

Berichten: 21858
Geregistreerd: 02-01-10
Woonplaats: Het Zuiden des Lands

Link naar dit bericht Geplaatst: 13-05-19 17:01

Zoe_97 schreef:
geloof me dat is geen menin maar bezorgdheid ;)
Je wil niet weten hoeveel moederhonden er op hun pups gaan liggen.

Vrolijkere noot :p
Mijn weekend was erg leuk :D Met vrienden met de mobilhome naar luxemburg naar de grote show geweest. Aelynn werd is een sterke klas 2e met ene veelbelovend, het teefje dat 1e was en aelynn zijn erg aan elkaar gewaagd want de vorige 2 shows was aelynn 1 en zij 2.
En ijn knappe cooper mocht voor het eerst in de veteranen klasse. Hij heeft zijn klasse gewonnen en is beste veteraan van eht ras geworden :D hij is nu luxemburgs veteranen kampioen 2019 :D


Gefeliciteerd!

Daar had ik nog een vraag over, maar was het helemaal vergeten! Ik zag dat hij 8 jaar is geworden, heeft hij al eens gedekt?

In NL moet een reu namelijk voor een bepaalde leeftijd gedekt hebben om met die leeftijd nog te mogen dekken. Ben benieuwd hoe dat bij jullie zit!


kiwiwitje schreef:
Hier ook werpkist met stangen. Maar die gingen er hier uit toen de oogjes open waren omdat ze toen ook echt meer gingen “scharrelen”.

De kist kunnen de pups niet uit, is strak dus ze kunnen nergens onder of tussen verstopt raken. Makkelijk schoonmaken en mama kan er makkelijk uit wanneer ze wil. Zo’n badje snap ik de logica niet van. Maar daar zal de fokker vast een reden voor hebben..



Zoe_97 schreef:
deze randen kunnendat niet voorkomen denies. doodlig stangen f die houte "plankjes" die je in de meeste werpkinsten vindt. zorgen dat pups daar onderin rollen als de moeder erop gaat liggen en dan kunnen de pups nog ademen en er onderuit kruipen. in een zwebadje kunnen de pups wel gewoon verstikken. :)


Eens met bovenstaande uiteraard. Maar dit is verder geen kritiek, maar naar aanleiding van een vraag die gesteld werd lijkt mij.

Ik zie overigens steeds meer van die gekke dingen als 'werpkist', zelfs van die plastic hondenmanden.

Zoe_97

Berichten: 9536
Geregistreerd: 18-11-10
Woonplaats: België

Re: Puppy erbij 2019

Link naar dit bericht Geplaatst: 13-05-19 17:09

Zijn eerste pups zijn op komst in Nederland bij jewel fields border collies :D op mijn website staat de combinatie.
In België is er voor een reu geen maximum leeftijd trouwens :)

KimD

Berichten: 21858
Geregistreerd: 02-01-10
Woonplaats: Het Zuiden des Lands

Link naar dit bericht Geplaatst: 13-05-19 17:17

Zoe_97 schreef:
Zijn eerste pups zijn op komst in Nederland bij jewel fields border collies :D op mijn website staat de combinatie.
In België is er voor een reu geen maximum leeftijd trouwens :)


Daarom vroeg ik het inderdaad, frappant dat de regels zo verschillen.

Is zijn sperma nog getest toevallig?

Nynkster

Berichten: 5372
Geregistreerd: 04-03-12
Woonplaats: Exloo (Drenthe)

Re: Puppy erbij 2019

Link naar dit bericht Geplaatst: 13-05-19 17:23

Biggirl wat een blije fotos trouwens!! Had er helemaal overheen gekeken :Y) Fijn dat het haar weer helemaal aangegroeid is :D Ziet er toch beter uit!

Hier de knopen doorgehakt, gemaild naar de hondenschool dat we geen vervolgcursus gaan doen.
Het staat me toch niet echt aan dat er pas 2 cursussen verder losse opdrachten gaan doen. Dan heb ik straks 300 euro besteed voordat we iets doen wat misschien uitdagend is. Dan ga ik liever naar het park zelf aan de gang :) En dan ga ik nu ook de schapenmensen berichten of we binnenkort langs kunnen komen om bij de schaapjes te kijken, ben benieuwd of guinness het wat vindt.

KimD

Berichten: 21858
Geregistreerd: 02-01-10
Woonplaats: Het Zuiden des Lands

Link naar dit bericht Geplaatst: 13-05-19 17:33

Nynkster schreef:
Biggirl wat een blije fotos trouwens!! Had er helemaal overheen gekeken :Y) Fijn dat het haar weer helemaal aangegroeid is :D Ziet er toch beter uit!

Hier de knopen doorgehakt, gemaild naar de hondenschool dat we geen vervolgcursus gaan doen.
Het staat me toch niet echt aan dat er pas 2 cursussen verder losse opdrachten gaan doen. Dan heb ik straks 300 euro besteed voordat we iets doen wat misschien uitdagend is. Dan ga ik liever naar het park zelf aan de gang :) En dan ga ik nu ook de schapenmensen berichten of we binnenkort langs kunnen komen om bij de schaapjes te kijken, ben benieuwd of guinness het wat vindt.


Voor de schapen is hij nog veel te jong, daar ben je voorlopig nog niet welkom. :n

Je zou wel eventueel kunnen balansen, ook erg leuk om te doen, zeker voor jonge borders. Dan leren ze dat ze vier poten hebben die onafhankelijk van elkaar gebruikt kunnen worden. :D

Nynkster

Berichten: 5372
Geregistreerd: 04-03-12
Woonplaats: Exloo (Drenthe)

Re: Puppy erbij 2019

Link naar dit bericht Geplaatst: 13-05-19 17:38

Honden die voor de schapen opgeleid worden beginnen ze nog veel eerder mee dan hoe oud die van ons is. Ik zeg ook niet dat we fanatiek gaan drijven, we gaan kijken of hij ze leuk vindt. Niet meer dan dat.

Ja dat zag ik laatst ook ergens langskomen, eens in verdiepen

Zoe_97

Berichten: 9536
Geregistreerd: 18-11-10
Woonplaats: België

Link naar dit bericht Geplaatst: 13-05-19 17:40

KimD schreef:
Zoe_97 schreef:
Zijn eerste pups zijn op komst in Nederland bij jewel fields border collies :D op mijn website staat de combinatie.
In België is er voor een reu geen maximum leeftijd trouwens :)


Daarom vroeg ik het inderdaad, frappant dat de regels zo verschillen.

Is zijn sperma nog getest toevallig?

Nog niet. Sommige fokkers zeggen als je bij een reu zijn eerste dek alles met de hand doet dat hijd an niet zelf een teefje meer wil dekken. We hebben dus besloten niet te testen maar als het teefje leeg blijft wordt hij wel getest.
Volgende week is de scan. Maar het ziet er heel positief uit. Een teef die normaal heel slank en heel erg actief is. Ligt nu hele dagen op de bank en wordt al wat ronder en is veel aanhankelijker. Ook beginnen haar tepeltjes te verkleuren.
Het ziet er dus heel rooskleurig uit.
23 mei op 34 dagen gaan ze de scan doen.

xDenies

Berichten: 14156
Geregistreerd: 29-01-08

Re: Puppy erbij 2019

Link naar dit bericht Geplaatst: 13-05-19 17:41

Ik zie bij veel schapendrijvers de pups gewoon al meewaggelen. Kennismaking moet ergens beginnen :) Er word nog niets van verwacht maar je ziet al echt wel die drive er in, heel bijzonder!

KimD

Berichten: 21858
Geregistreerd: 02-01-10
Woonplaats: Het Zuiden des Lands

Link naar dit bericht Geplaatst: 13-05-19 17:41

Nynkster schreef:
Honden die voor de schapen opgeleid worden beginnen ze nog veel eerder mee dan hoe oud die van ons is. Ik zeg ook niet dat we fanatiek gaan drijven, we gaan kijken of hij ze leuk vindt. Niet meer dan dat.

Ja dat zag ik laatst ook ergens langskomen, eens in verdiepen


Dat klopt, maar die zijn met 6-7 jaar ook volledig kapot en afgeschreven, die kunnen dan ook vertrekken of nog een nest gooien.

Als je hond je lief is zou ik nog wat maanden wachten voordat je aan schapendrijven begint. De groeischijven moeten dicht zijn.

KimD

Berichten: 21858
Geregistreerd: 02-01-10
Woonplaats: Het Zuiden des Lands

Link naar dit bericht Geplaatst: 13-05-19 17:44

Zoe_97 schreef:
KimD schreef:

Daarom vroeg ik het inderdaad, frappant dat de regels zo verschillen.

Is zijn sperma nog getest toevallig?

Nog niet. Sommige fokkers zeggen als je bij een reu zijn eerste dek alles met de hand doet dat hijd an niet zelf een teefje meer wil dekken. We hebben dus besloten niet te testen maar als het teefje leeg blijft wordt hij wel getest.
Volgende week is de scan. Maar het ziet er heel positief uit. Een teef die normaal heel slank en heel erg actief is. Ligt nu hele dagen op de bank en wordt al wat ronder en is veel aanhankelijker. Ook beginnen haar tepeltjes te verkleuren.
Het ziet er dus heel rooskleurig uit.
23 mei op 34 dagen gaan ze de scan doen.


Spannend! Nog maar even duimen dan!

Ben nog steeds benieuwd hoe dat zit met het afgeven van stambomen. Bij de RvB moet je een dekbewijs leveren van de reu.

Moet eens navragen hoe dat zit als je een buitenlandse hond gebruikt (uit het verre België. :') ) of je dan niet de regels hoeft te handhaven.

Nynkster

Berichten: 5372
Geregistreerd: 04-03-12
Woonplaats: Exloo (Drenthe)

Link naar dit bericht Geplaatst: 13-05-19 17:50

KimD schreef:
Nynkster schreef:
Honden die voor de schapen opgeleid worden beginnen ze nog veel eerder mee dan hoe oud die van ons is. Ik zeg ook niet dat we fanatiek gaan drijven, we gaan kijken of hij ze leuk vindt. Niet meer dan dat.

Ja dat zag ik laatst ook ergens langskomen, eens in verdiepen


Dat klopt, maar die zijn met 6-7 jaar ook volledig kapot en afgeschreven, die kunnen dan ook vertrekken of nog een nest gooien.

Als je hond je lief is zou ik nog wat maanden wachten voordat je aan schapendrijven begint. De groeischijven moeten dicht zijn.


Het is ook alleen om te kijken of hij het wat vind. Ik ga niet fanatiek drijven met een hond die zo jong is. Als hij het wat vind gaan we dat gewoon oppakken als hij wat ouder is. Maar als hij het niks vind weet ik ook dat we dan net zo goed wat anders kunnen gaan zoeken rond die tijd :+

Zoe_97

Berichten: 9536
Geregistreerd: 18-11-10
Woonplaats: België

Link naar dit bericht Geplaatst: 13-05-19 17:53

KimD schreef:
Zoe_97 schreef:
[quote="KimD"

Daarom vroeg ik het inderdaad, frappant dat de regels zo verschillen.

Is zijn sperma nog getest toevallig?
[/quote
Nog niet. Sommige fokkers zeggen als je bij een reu zijn eerste dek alles met de hand doet dat hijd an niet zelf een teefje meer wil dekken. We hebben dus besloten niet te testen maar als het teefje leeg blijft wordt hij wel getest.
Volgende week is de scan. Maar het ziet er heel positief uit. Een teef die normaal heel slank en heel erg actief is. Ligt nu hele dagen op de bank en wordt al wat ronder en is veel aanhankelijker. Ook beginnen haar tepeltjes te verkleuren.
Het ziet er dus heel rooskleurig uit.
23 mei op 34 dagen gaan ze de scan doen.


Spannend! Nog maar even duimen dan!

Ben nog steeds benieuwd hoe dat zit met het afgeven van stambomen. Bij de RvB moet je een dekbewijs leveren van de reu.

Moet eens navragen hoe dat zit als je een buitenlandse hond gebruikt (uit het verre België. :') ) of je dan niet de regels hoeft te handhaven.

De werking van de RvB ben ik natuurlijk niet van op de hoogte. De eigenaar van de teef wist coop zijn leeftijd en dat het eerste nestje was. Al coop zijn gegevens en de dekaangifte zijn gedaan bij RvB en die is gewoon geaccepteerd. Dus ik ga er vanuit dat dat gewoon in orde is. RvB weet natuurlijk niet of hij in andere landen al gedekt heeft.

KimD

Berichten: 21858
Geregistreerd: 02-01-10
Woonplaats: Het Zuiden des Lands

Re: Puppy erbij 2019

Link naar dit bericht Geplaatst: 13-05-19 19:32

Ik ben op Facebook zo'n schrijnend bericht tegen gekomen, echt te gek voor woorden. Wat een onrealistische mensen zijn er toch. :n

KarmaChansy

Berichten: 7026
Geregistreerd: 17-05-05
Woonplaats: Sverige

Re: Puppy erbij 2019

Link naar dit bericht Geplaatst: 13-05-19 19:36

wat ben je tegen gekomen dan?

KimD

Berichten: 21858
Geregistreerd: 02-01-10
Woonplaats: Het Zuiden des Lands

Link naar dit bericht Geplaatst: 13-05-19 19:38

Was er net een screenshot van aan het maken, maar even de naam van de TS weggehaald.

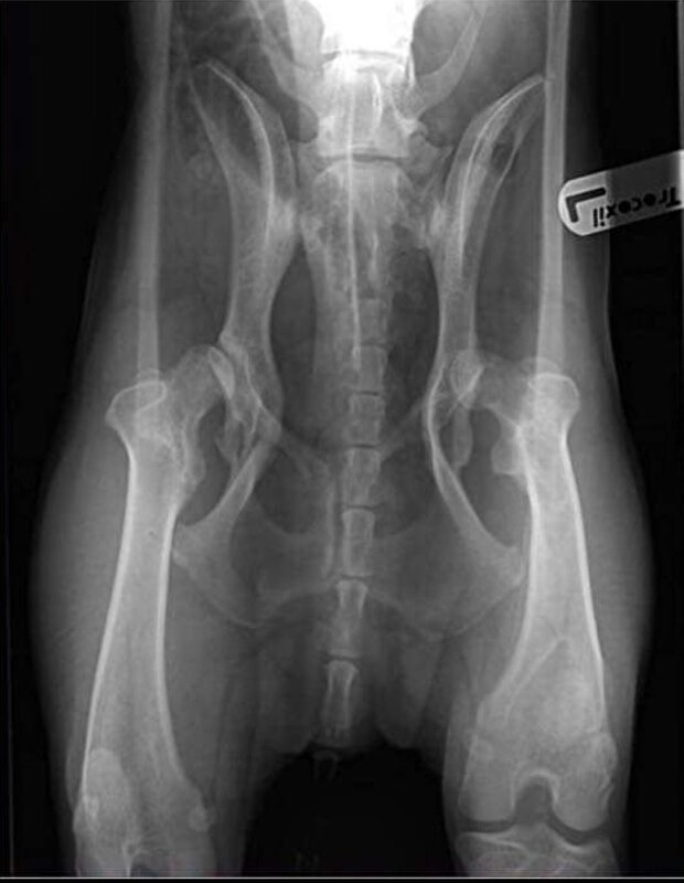
Hoe egoïstisch mensen kunnen zijn tegenover hun dier, ongelofelijk. :n

Het betreft een grote DH reu, maar ook echt groot, nu al.


Afbeelding

Afbeelding

KarmaChansy

Berichten: 7026
Geregistreerd: 17-05-05
Woonplaats: Sverige

Link naar dit bericht Geplaatst: 13-05-19 19:42

och arme wat doen ze dat beestje aan zeg

edit ik zou dat beestje dus laten gaan, dit is toch niet dierwaardig zoveel sleutelen.

xDenies

Berichten: 14156
Geregistreerd: 29-01-08

Re: Puppy erbij 2019

Link naar dit bericht Geplaatst: 13-05-19 19:57

Oké dan … even nieuwe heupkommen.