Eigenlijk begon dit avontuur al wat eerder, in 2013 namelijk:
In dit jaar kocht ik mijn droomveulentje, een panterbont hengstje: Florencio v/d Ponyhoeve.
Alleen soms lopen je plannen anders dan gedacht en heb ik hem in 2015 verkocht omdat we over zijn gegaan op het alleen houden van merries. Ik vond het erg jammer, want had graag nog een veulen van hem gehad!
Gelukkig kwam hij terecht bij een super baasje niet ver van ons vandaan en was ze wel bereid hem naar de hengstenkeuring te doen in 2016. Als hij goedgekeurd zouden worden mocht hij bij ons komen dekken, en zo gebeurde dat ook
. Na zijn goedkeuring als dekhengst is hij een maandje bij ons komen logeren!Uit onze merries hebben we de volgende drie dames uitgekozen om op date met hem te gaan:
Violetta (Rosabella’s Sarah)
Red Dun, 90 cm, NMPRS, Prok goedgekeurd.
Winners Circle Illusion x Hayes Hill Stephano
Twee veulens bij ons gehad, grullo-bont hengstje en een dunalino merrie.

Roza (Roos)
Vos Roan Schabrak Appaloosa, 91 cm, NAS en NMPRS, Prok goedgekeurd.
Guppy x Little Boy
Heeft bij ons 1 veulen gehad, zwart panterbonte merrie.

Grullo-Bont met Appaloosa kenmerken, 89 cm, NMPRS, Prok Goedgekeurd.

En dan natuurlijk de hengst:
Florencio v/d Ponyhoeve
Lodewijk van Hurwenen x Bayerns Raki
Ingeschreven bij het NAS en NMPRS. Goedgekeurde dekhengst bij het NMPRS.
Bruin Panterbont, 99 cm

Filmpje van de hengstenkeuring:
En dan begint het spannende wachten…
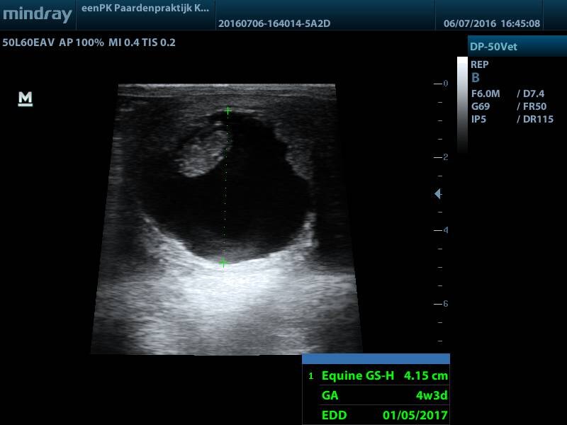
Eerst twee weken was ik er niet zo mee bezig, maar dan komt de periode dat ze toch hengstig zouden moeten gaan worden als het niet gelukt zou zijn. Je hoopt zo dat je niks ziet dat je niet wilt zien. Je dekt jezelf toch in: Er staat geen hengst in de buurt, dus misschien zijn ze wel hengstig geworden maar zie ik het daarom niet..06/07/2016, tijd voor een bezoekje van de dierenarts! Ik was stiekem toch wel een beetje zenuwachtig. We beginnen met Violetta:
Al snel is het te zien, heel netjes drachtig!
Uitgerekend: 4-9 mei 2017

Yeeeeh, dat is 1! Dan gaan we door met Roza:
Drachtig! Het kortste van allemaal, maar wel goed zichtbaar.
Uitgerekend: 13-19 mei 2017

Wauw, wat gaat het goed! Nu de laatste nog, Noa. Bij haar twijfelde ik een beetje al weet ik niet precies waarom. Daar gaan we dan:
Wauw, ook een prachtig baby paardje in de maak te zien!
Uitgerekend: 4-9 mei 2017

Dus blij mag ik melden dat we in 2017 uit mogen kijken naar 3 mini veulentjes!
Welke voorbereidingen wij altijd hebben zal ik nog een keer uitgebreid vertellen, anders word de inleiding zo lang
Het is natuurlijk nog best vroeg voor een topic, maar ik vind het leuk om alles van de dracht bij te houden!Vorig jaar hebben we ook een volgtopic gehad ( We verwachten 4 mini veulentjes in 2016!) wat ik erg leuk vond. Het is gezellig met anderen je spanning te kunnen delen, vorderingen bij te houden, kletsen, van elkaar te leren en natuurlijk te kunnen genieten van het eindresultaat: De veulentjes!
Voel je vrij om vragen te stellen, niks is dom/stom want hé, niemand weet immers alles!
Ik hoop dat jullie zin hebben om mee te volgen!
Heel leuk hengstje! Ben wel erg benieuwd naar de kleurkansen! 






hihi!
Het lijkt wel of ze binnen een maand ontploft zijn! Al vertekend de vacht ook wel een stuk hoor, als ik ze zou scheren zouden ze er al weer heel anders uitzien. Maar dit wollige heeft ook wel wat schattigs, zeker als het vriest, dan zien ze er zo knuffelbaar uit.