Moderators: Essie73, NadjaNadja, Muiz, Telpeva, ynskek, Ladybird, Polly
different1 schreef:Klopt, verbening is aan beide voeten alleen aan de buitenkant.
Maar paard staat dus ook scheef (geen rechte lijn kogel-kootbeen-kroonbeen) en als je kijkt naar de straal en de lip van het ijzer, is de balans niet goed.
Paard staat nog niet op een zooltje, maar moet misschien wel om te corrigeren.



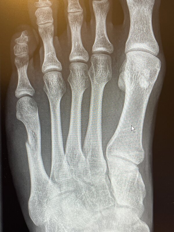
Jet schreef:Nobel, hoort daar ook nog een tussenwervelschijf te zitten die er nu niet of nauwelijks meer is? En zie ik scoliose?
En die van die voet: hoort die grote teen zo te staan?
Equipro, hoe oud was dit paard? Kissing Spines kan heel heftig zijn inderdaad.
Nobel01 schreef:Jet schreef:Nobel, hoort daar ook nog een tussenwervelschijf te zitten die er nu niet of nauwelijks meer is? En zie ik scoliose?
En die van die voet: hoort die grote teen zo te staan?
Equipro, hoe oud was dit paard? Kissing Spines kan heel heftig zijn inderdaad.
Bijna helemaal goed.
Inderdaad geen tussenwervelschijf meer, scoliose, artrose, en als je goed kijkt zie je ook kissing spines op de foto.
Ook staat de onderste wervel niet meer in lijn, die was aan het afglijden.
Inmiddels is mijn rug vastgezet, geen pijn meer.
Bij de voet foto is er niks met de grote teen aan de hand. Bij de kleine teen het middenvoetsbeentje gebroken.
Nobel01 schreef:Jet schreef:Nobel, hoort daar ook nog een tussenwervelschijf te zitten die er nu niet of nauwelijks meer is? En zie ik scoliose?
En die van die voet: hoort die grote teen zo te staan?
Bijna helemaal goed.
Inderdaad geen tussenwervelschijf meer, scoliose, artrose, en als je goed kijkt zie je ook kissing spines op de foto.
Ook staat de onderste wervel niet meer in lijn, die was aan het afglijden.
Inmiddels is mijn rug vastgezet, geen pijn meer.
Bij de voet foto is er niks met de grote teen aan de hand. Bij de kleine teen het middenvoetsbeentje gebroken.
Eigenlijk zijn de mensfoto's best minder van kwaliteit dan de paardenfoto's vind ik...
Artrose, zit die ook bij die overgang waar de tussenwervelschijf weg is? Als ik nog een keer kijk lijkt daar wel een haakje te zitten. Op zich heel fijn dat je nu pijnvrij bent, maar het zal je wel beperkingen opleveren.
En beter dat de grote teen zo hoort!

