
(niets mis mee trouwens, was een collega helpen die iets aan het testen was op de machine).
Moderators: Essie73, NadjaNadja, Muiz, Telpeva, ynskek, Ladybird, Polly
enjoymyhorse schreef:Wat een interessant topic!
Is het misschien een idee om in een spoiler onder elke foto te zetten wat er mis is?
Nu blijf je scrollen En zoeken welk antwoord bij welke foto hoort
                                                         
 

 wel een hele tijd last van gehad.

 
 

 
                                                         Joolien schreef:Tigress schreef:Ooh, er is zeker wat op te zien![]()
De artsen waren geschrokken ervan. Dit hadden ze absoluut niet verwacht, waardoor ik de volgende dag met spoed weer langs mocht komen
[ [url=m/03YlrL.jpg]Afbeelding[/url] ]
Uhm bij die blauwe lijn zit een vernauwing in het ruggenmerg?

 Exact 3 weken na mijn eerste pijnscheut ging ik onder het mes 
                                                         Tigress schreef:Joolien schreef:
Uhm bij die blauwe lijn zit een vernauwing in het ruggenmerg?
Enkele dagen voor deze scan had ik een gigantische pijnscheut gehad, zoiets had ik nog nooit meegemaakt. Bij de HA geweest, en deze gaf aan dat ik rust moest nemen voor 3 dagen. Na die 3 dagen toch maar doorgestuurd naar het ziekenhuis voor een spoedconsult bij de neuroloog. Deze verwachtte een (ernstig) spierprobleem, want ik had zeker geen typische hernia klachten. Gelukkig zat mijn moeder erbij, die hetzelfde probleem heeft gehad. Zij is uiteindelijk met spoed op de operatietafel beland
Vanwege een uitvaller kon ik diezelfde dag nog onder de scan door. Toen ik de volgende dag terug belde voor de vervolgafspraak, werd ik er tussen gepropt en kon ik diezelfde ochtend nog terecht.
1 hele grote hernia (aldus de arts die hem heeft weggehaald), en daarboven zit een hernia op het randje van doorbreken. Dat hadden ze niet verwacht bij een, verder gezonde, 24 jarige meidExact 3 weken na mijn eerste pijnscheut ging ik onder het mes
 Die lag ook dezelfde dag nog op de ok. Anne. schreef:Dit ben ik! Enigszis bewerkt omdat de foto genomen is vanaf een computerscherm. Dat mijn schedel (links)boven donkerder is, is daar aan te wijten. Hetgeen waar het om gaat kun je duidelijk zien.. Zien jullie 't?
[ Afbeelding ]
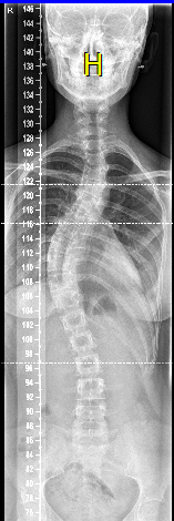
chanicha schreef:Scoliose s_v?
Zo dat is niet niks die hernia!