Laten we gaan springen in het weiland, dacht ik. De grond was droog en ik dacht ooh dat kan wel.
Fout gedacht.. Het paard gleed uit en het paard viel op mij ( vanaf mijn knie tot mijn tenen ). In mijn reactie duwde ik meteen het paard van me af. Die vervolgens lekker ging grazen en rondjes om mij heen liep. Thank god dat ik braaf mijn cap en bodyprotector om had, maar voorkomen dat de stijgbeugel tegen mijn voet aandrukte kon ik niet. De schoen ging uit en ik zag duidelijk dat mijn voet niet recht stond. Na 20 minuutjes in het weiland te hebben gelegen kwam de ambulance ( Dit duurde langer omdat, het dorpje waar ik was in de middle of nowhere ligt. )

Aangezien het dorpje maar een uur verwijderd is van Maastricht had ik de hoop dat ik daarheen werd vervoerd. Dit was niet het geval omdat, ik in Duitsland was en niet over de grens vervoerd mag worden.
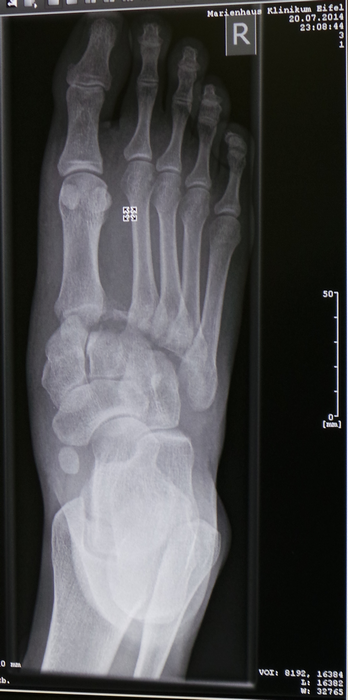
Aangekomen bij het ziekenhuis werden er foto's gemaakt. Resultaat:
- 4 middenvoetsbeentjes compleet uit de kom en mijn grote teen die toch ook niet helemaal stond zoals het hoorde.
Meteen een operatie gehad. De dokters hadden nog zo gezegd dat ik geen pinnen in mijn voeten zou krijgen ( Heb ik in mijn halve Duits gehoord ). De operatie was goed gegaan, maar de nabehandeling in het ziekenhuis was heel slecht. Niemand die naar mij toe kwam wat ze hadden gedaan met mijn voet. Het verband eraf halen en vervolgens een half uur openlaten waardoor, ik de vliegen die neerstreken op mijn been, moest wegslaan.
Geen vriendinnen om mij heen, geen kennissen die even langskomen maar, gelukkig wel mijn moeder de hele tijd aan mijn zij gehad en mij vader en broer kwamen ook nog een paar dagen. Ik mocht ook absoluut niet uit mij ziekenhuis bedje komen of naar buiten ( heel moeilijk als je roker bent
)Na 1.5 week daar te hebben gelegen ( Omdat, mijn zwelling heel erg was en ze bang waren voor compartimentssyndroom ) mocht ik met de ambulance naar huis omdat mijn zwelling genoeg was weggetrokken.
Na een week ging ik in Nederland naar de afdeling chirurgie. Foto's bekijken, voelen, hechtingen eruit. Nadat de dokter de foto's had bekeken zei hij er zitten 6 pinnen in je voet. Pinnen in mij voet ?!, dacht ik. Een kleine teleurstelling.. want, waar ik zo bang voor was, was nog een operatie. Ook hier kreeg ik weer te horen dat het 1 van de ernstigste letsels was, wat je maar kon hebben.
Vooruitzicht is nu: 10 weken gips en rond 1 september een operatie om mijn pinnen eruit te halen.
Na de 10 weken gips weer gaan beginnen met leren lopen met behulp van fysiotherapie.
Ik kan niet wachten tot ik bij de fysio loop en zo snel mogelijk weer kan lopen ook al word het een lange weg.
Maar héé ik heb in een ambulance kunnen rijden

Beterschap!
. Probeer sterk te blijven alleen maar negatief denken helpt helemaal niet
in ieder geval beterschap!