Hoi!
De titel zegt het al.. Als ik dit allemaal van tevoren had geweten, was ik er dan wel aan begonnen?
Heb mijn paard nu 2 jaar, mijn allereerste paard en een droom die werkelijkheid is geworden.
Ben helemaal verliefd op haar en zou niet meer zonder haar kunnen.
Vanaf het begin ervaren we al veel ups en downs, verschillende zadelmakers/osteopathen /dierenartsen..
Het hielp allemaal wel voor even, maar toch voelde het nog niet goed.
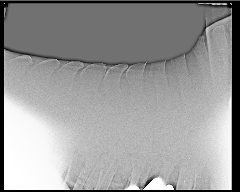
Daarom foto's laten maken van haar rug en voorbenen.
En het gevoel werd bevestigd, Diva heeft Kissing Spines en slijtage in haar hoefbeen.
Onder verdoving zijn de plekken in haar rug en voorbenen(hoeven) ingespoten.
Na een rustperiode, en ander beslag(met lederen steunzolen) zijn we weer langzaam aan het werk gegaan.
Wat een verschil, Diva laat haar rug los, begint veel meer te swingen en is zoveel vrolijker.
We hebben zoveel problemen gehad met zadels en daarbij werkt haar bouw ook totaal niet mee.
Diva is erg overbouwd, heeft een buikje en ieder zadel schuift naar voren (is intussen wel wat in bouw veranderd
).Nu we op de juiste manier kunnen trainen, zal ze nog meer gaan veranderen in rug.
Een goed zadel is dan van groot belang.
Ik heb nu een Thorrowgood leenzadel met een bontje ertussen (zadel is zo aangepast dat het bontje ertussen past).
Maar zadelmaker geeft aan dat dit zadel eigenlijk niet helemaal lekker op haar rug ligt.
En raad aan een zadel op maat te laten maken, omdat er zo weinig zadels op haar rug passen.
Ik wil alles doen om haar goed te krijgen, maar ben verschrikkelijk bang dat ik een duur maatzadel koop waar ze binnen een paar maanden uit gegroeid is.
Mijn paard loopt voor mijn gevoel top onder het Thorrowgood zadeltje met bontje.
Kan ik hier niet beter mee blijven trainen tot ze echt de juiste bespiering heeft gekregen in haar rug?
Zijn er misschien mensen met ervaring en tips?
Onder nog 2 foto's van de KS, en een foto in training van gisteren.


Alvast heel erg bedankt!!
ik heb er nu zelf een en ik ben er helemaal wild van. Het het zelfde concept als custom en schutte, maar betaalbaarder en imo betere zadelmakers. Ze hebben iig een zeer goede reputatie