Onregelmatig op beide achterbenen, maar niets te vinden.

Moderators: Essie73, Coby, balance, Firelight, Dyonne, Neonlight, Sica, NadjaNadja, C_arola

Toevoegen aan eigen berichten
 
 
Lielle

Berichten: 66523
Geregistreerd: 12-01-01

Re: Onregelmatig op beide achterbenen, maar niets te vinden.

Link naar dit bericht Geplaatst: 28-04-15 11:27

ik snap dat je het wil weten, voor je eigen gemoedsrust. Aan de andere kant, in heel veel gevallen is gewoon rust de beste oplossing en met zulke vage klachten is het maar helemaal de vraag of je een diagnose gaat krijgen.

stafanja
Berichten: 56
Geregistreerd: 04-06-10

Re: Onregelmatig op beide achterbenen, maar niets te vinden.

Link naar dit bericht Geplaatst: 28-04-15 11:31

Phoe lastig, misschien iets geks, maar is spat een mogelijkheid? Aan beide achterbenen, dit geeft opstartproblemen, maar hoeft geen duidelijke kreupel beeld te geven.

femke_harley

Berichten: 3161
Geregistreerd: 13-06-05
Woonplaats: Zwijndrecht

Re: Onregelmatig op beide achterbenen, maar niets te vinden.

Link naar dit bericht Geplaatst door de TopicStarter : 28-04-15 12:06

@lielle: dat is ook wel zo. Ik ga toch nog een afspraak maken voor een echo en griffelbeentje op de foto. Als dat het ook niet is, gaat ze idd voorlopig op rust. Naja dat staat ze nu ook.

@stafanja: dat is af uitgesloten met foto's

femke_harley

Berichten: 3161
Geregistreerd: 13-06-05
Woonplaats: Zwijndrecht

Link naar dit bericht Geplaatst door de TopicStarter : 01-05-15 10:04

A.s. woensdag wordt er een echo gemaakt en indien nodig foto's van het griffelbeentje. Allereerst zal er natuurlijk nog wel onderzoek gedaan worden.

Ik baal ook echt zo van de kliniek waar ik ben geweest. Ik probeer al drie dagen lang foto's te ontvangen, maar elke keer is er wat. Eerst konden ze niet gemaild worden, omdat het bestand niet paste in een e-mail. Toen zou de kwaliteit niet voldoende zijn om te beoordelen als ze worden gemaild. Net was het weer, omdat mijn rekening nog niet was betaald. WAT HUN FOUT IS! -:(- normaal moet je gelijk afrekenen op de kliniek, maar de arts was al weggegaan toen ik nog op de uitslag stond te wachten, waardoor de andere arts geen rekening kon maken, omdat hij niet wist wat zij had gedaan.

Toen ik dat zei, dimde ze wel een beetje in. Nu kan ik vanavond of in het weekend alsnog de CD ophalen met de foto's en de factuur (wat die heb ik nog niet gehad, dus hoe kan ik het dan betalen!)

Als er woensdag wel wat uitkomt, zal ik ze nog wel even bedanken voor alles. :n

kiwiwitje

Berichten: 20648
Geregistreerd: 22-08-09
Woonplaats: Vught

Re: Onregelmatig op beide achterbenen, maar niets te vinden.

Link naar dit bericht Geplaatst: 01-05-15 12:38

Dat is ook geen goede reclame voor de kliniek. Vanaf hun dan he! bedoel er niks mee tegen jou. maar de foto's zouden van te slechte kwaliteit zijn dan? Dan kunnen hun er ook niet genoeg op zien lijkt mij. Zover kan de kwaliteit niet achter uit gaan als ze op cd gezet worden.

Jet

Berichten: 12954
Geregistreerd: 31-01-01
Woonplaats: Anna Paulowna

Link naar dit bericht Geplaatst: 01-05-15 12:41

Ze bedoelen als ze de foto's op de mail zetten en dat klopt ook wel als ze de bestanden moeten verkleinen. Natuurlijk kan dat tegenwoordig ook wel met andere programma's verstuurd worden, maar dat zullen ze niet kennen.

Jammer dat het met de eerste kliniek zo moeizaam verloopt allemaal, ik ben wel heel benieuwd wat woensdag 7 mei de bevindingen op de andere kliniek zijn.

kiwiwitje

Berichten: 20648
Geregistreerd: 22-08-09
Woonplaats: Vught

Link naar dit bericht Geplaatst: 01-05-15 12:59

Jet schreef:
Ze bedoelen als ze de foto's op de mail zetten en dat klopt ook wel als ze de bestanden moeten verkleinen. Natuurlijk kan dat tegenwoordig ook wel met andere programma's verstuurd worden, maar dat zullen ze niet kennen.

Jammer dat het met de eerste kliniek zo moeizaam verloopt allemaal, ik ben wel heel benieuwd wat woensdag 7 mei de bevindingen op de andere kliniek zijn.

Oh excuus. Goed lezen blijft ook lastig blijkt weer.

femke_harley

Berichten: 3161
Geregistreerd: 13-06-05
Woonplaats: Zwijndrecht

Link naar dit bericht Geplaatst door de TopicStarter : 02-05-15 14:04

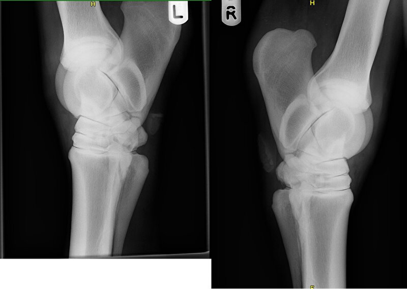
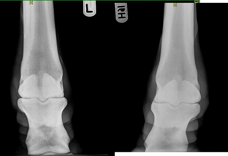
Vandaag de foto's opgehaald! :)

Kogelgewricht
Afbeelding

Spronggewricht
Afbeelding


Nu woensdag maar afwachten.

maralyn

Berichten: 11629
Geregistreerd: 23-02-09
Woonplaats: --

Re: Onregelmatig op beide achterbenen, maar niets te vinden.

Link naar dit bericht Geplaatst: 02-05-15 14:21

Ik mag hopen dat de foto's in verschillende posities zijn genomen?
Want enkel van achteren of opzei een foto is natuurlijk onvoldoende om te kijken of daar iets vreemds zit wat een hard structuur aanneemt.
Zijn de heupen ook op de foto gezet?

Veel problemen komen vaak hoger in het lichaam voor, als dat we zelf doorhebben.

Zo kende ik een merrie, die op links moeilijk liep, terwijl ze in haar rechterschouder vast zat.
Dierenarts had foto's en alles gemaakt en kon werkelijkwaar niets vinden.
"Voor een oudje van 17 had ik de voorbenen erger verwacht, zelfs een 5 jarige komt hiermee goed in de scores."

Maar na een stevige behandeling van een osteopaat was de kreupelheid in eerste instantie verdwenen.
Elke keer als het paardje te zwaar liep of te veel liep, kreeg ze weer last van kreupelheid.

Omdat ze de schouders moeilijk op foto kunnen zetten en daar ook moeilijk bij kunnen komen, is daarbij de behandeling die ze op dit moment kregen, rust, niet te veel draaien over der eigen as.
Beestje is nu 24/7 buiten, loopt der eigen gangetje en is tot heden nog niet kreupel in het land gezien.

Mits het paardje maar niet te veel doet.

Kort om.

Wat verschrikkelijk moeilijk.

femke_harley

Berichten: 3161
Geregistreerd: 13-06-05
Woonplaats: Zwijndrecht

Link naar dit bericht Geplaatst door de TopicStarter : 02-05-15 16:38

maralyn schreef:
Ik mag hopen dat de foto's in verschillende posities zijn genomen?
Want enkel van achteren of opzei een foto is natuurlijk onvoldoende om te kijken of daar iets vreemds zit wat een hard structuur aanneemt.
Zijn de heupen ook op de foto gezet?

Veel problemen komen vaak hoger in het lichaam voor, als dat we zelf doorhebben.

Zo kende ik een merrie, die op links moeilijk liep, terwijl ze in haar rechterschouder vast zat.
Dierenarts had foto's en alles gemaakt en kon werkelijkwaar niets vinden.
"Voor een oudje van 17 had ik de voorbenen erger verwacht, zelfs een 5 jarige komt hiermee goed in de scores."

Maar na een stevige behandeling van een osteopaat was de kreupelheid in eerste instantie verdwenen.
Elke keer als het paardje te zwaar liep of te veel liep, kreeg ze weer last van kreupelheid.

Omdat ze de schouders moeilijk op foto kunnen zetten en daar ook moeilijk bij kunnen komen, is daarbij de behandeling die ze op dit moment kregen, rust, niet te veel draaien over der eigen as.
Beestje is nu 24/7 buiten, loopt der eigen gangetje en is tot heden nog niet kreupel in het land gezien.

Mits het paardje maar niet te veel doet.

Kort om.

Wat verschrikkelijk moeilijk.


Nee, zijn niet meer foto's gemaakt. Op basis van deze foto's vonden ze het niet noodzakelijk om meer foto's te maken. Maar als de DA die woensdag komt het wel noodzakelijk vind, gaan we dat wel doen. Ik denk dat het bij haar echt uit het been komt, omdat daar ook de verdikking zit. In de ochtend is hij ook wat gevuld met vocht. Loopt ze er daarna wel uit. Merk dat het buiten staan haar wel goed doet en het been ook.

JoliekeDH

Berichten: 856
Geregistreerd: 31-05-06
Woonplaats: Gouda

Re: Onregelmatig op beide achterbenen, maar niets te vinden.

Link naar dit bericht Geplaatst: 02-05-15 16:59

Het zou mij niks verbazen als het wel een pees/peesbandje blessure is.
herken een hoop dingen van mijn pony met een peesblessure. Is het plekje warm?

Ik heb hele goede ervaringen met Edigit. Goed betaalbaar ook, 200 euro en word evt vergoed door verzekering.. komen aan huis!

femke_harley

Berichten: 3161
Geregistreerd: 13-06-05
Woonplaats: Zwijndrecht

Link naar dit bericht Geplaatst door de TopicStarter : 02-05-15 17:21

Jo_vales schreef:
Het zou mij niks verbazen als het wel een pees/peesbandje blessure is.
herken een hoop dingen van mijn pony met een peesblessure. Is het plekje warm?

Ik heb hele goede ervaringen met Edigit. Goed betaalbaar ook, 200 euro en word evt vergoed door verzekering.. komen aan huis!


Dat is dus wat ik zelf ook denk! Warm? Mwa valt mee.

Woensdag komen ze een scan maken. Een dierenarts uit de omgeving, die wel vaker is geweest ook. Aan mij omschrijving denkt zij ook aan een pees of griffelbeentje.

Hoe is het bij jou verlopen?

JoliekeDH

Berichten: 856
Geregistreerd: 31-05-06
Woonplaats: Gouda

Re: Onregelmatig op beide achterbenen, maar niets te vinden.

Link naar dit bericht Geplaatst: 02-05-15 17:25

Aah oke. Mijn ponh heeft in 2012 scheur in checkligament RV gehad. Ze liep niet echt stokkreupel, en het was ook niet mega dik. Eerste week wel maar werd al snel dunner.. waa iets warm maar niet heel duidelijk. 9 maanden revalideren en toen zo goed als de oude. 2013 ontsteking aan het littekenweefsel, en nu staat ze sinds een week met een vermoedelijke dubbele peesblessure..

RV is denk ik het checkligament weer, ik hoop een ontsteking in plaats van nieuwe scheur. LV lijkt het in de pees direcht achter het bot te zitten, weet de chique naam even niet.

Maandagochtend komen ze scannen.

femke_harley

Berichten: 3161
Geregistreerd: 13-06-05
Woonplaats: Zwijndrecht

Re: Onregelmatig op beide achterbenen, maar niets te vinden.

Link naar dit bericht Geplaatst door de TopicStarter : 06-05-15 07:12

Bedankt Jo_vales. Hopelijk is het goed gegaan maandag.

Hier komt de DA vandaag. Hoop zo dat er iets uit komt, maar dat het ook wee meevalt. Zo tegenstrijdig.

JoliekeDH

Berichten: 856
Geregistreerd: 31-05-06
Woonplaats: Gouda

Re: Onregelmatig op beide achterbenen, maar niets te vinden.

Link naar dit bericht Geplaatst: 06-05-15 08:57

Hier viel het helaas niet mee, checkligament rechtavoor zit vol met scheurtjes, linksvoor is flink dik en hoop.vocht, maar gelukkig niet stuk.

Zal een maand of 10 duren eer alles weer terug naar normaal is. Laat even weten wat eruit komt, hoop dat je duidelijkheid krijgt maar het wel meevalt.

JoliekeDH

Berichten: 856
Geregistreerd: 31-05-06
Woonplaats: Gouda

Link naar dit bericht Geplaatst: 06-05-15 09:00

Afbeelding


hier zie je een beetje hoe haar beentjes eruit zien. Denk bij jouw paard niet perse aan het checkligament, maar zie je de overeenkomst in zwelling. Hoop voor je dat ik het mis heb..

(Pootjes zijn inmiddels allebei geschoren, was hier bezig en moest even bewijs hebben dat het sokplukje laten zitten eeeeecht geen gezicht was)

femke_harley

Berichten: 3161
Geregistreerd: 13-06-05
Woonplaats: Zwijndrecht

Link naar dit bericht Geplaatst door de TopicStarter : 06-05-15 17:56

Dierenarts vond haar in stap zuiver en in draf niet zozeer onregelmatig maar wat stijf. Ze zag de verdikking en gaf aan dat ze het logisch vond, dat ik dat uitgesloten wilde hebben. Allereerst foto's van het griffelbeentje. Prima in orde. Toen de pezen op de scan. Prima in orde. Het enige wat ze kon zien, was een verdikking van het weefsel, wat kan komen door een schop of ergens tegen aan stoten. Kortom blij dat, het uitgesloten is, alleen nog niets verder.

Wat zij mij aanraden om haar rustig wat op te bouwen, omdat rust haar niet goed doet (lees: nachtje in stal geeft een wat dikker been) en kijken hoe het zich ontwikkeld. Mocht het toch niet beteren, dan gaan we toch het traject van uitverdoven in. Al is t linkerbeen nu wel aardig binnenste buiten gekeerd.

Wat ik wel van de week opviel, wat er echt niet zat, is op t andere been iets op t spronggewricht.. ze noemde het iets van overvulde peesschede. Kon niet zo heel veel kwaad?!? :?

Misschien toch ook even een osteopaat erbij halen?

Kreeg antwoord van iemand van thermografie.. benen met behang of geschoren benen geven wel een vertekend beeld.. -O-

mystery1980
Berichten: 4361
Geregistreerd: 02-11-05
Woonplaats: thuis

Re: Onregelmatig op beide achterbenen, maar niets te vinden.

Link naar dit bericht Geplaatst: 07-05-15 11:37

verdikking op de pees kan ook komen door een oude peesblessure. Kan het niet zijn dat er een oude peesblessure zit die opspeelt? Worden ze ook wat stijf van omdat peesweefsel minder elastisch teruggroeit. Mijn paard is na zijn peesblessure ook nog wat stijf soms, maar heeft verder geen last meer.

Anoniem

Re: Onregelmatig op beide achterbenen, maar niets te vinden.

Link naar dit bericht Geplaatst: 07-05-15 13:33

Thermografie zou ik niet doen, is zonde van je geld want het is niet betrouwbaar genoeg.

femke_harley

Berichten: 3161
Geregistreerd: 13-06-05
Woonplaats: Zwijndrecht

Re: Onregelmatig op beide achterbenen, maar niets te vinden.

Link naar dit bericht Geplaatst door de TopicStarter : 07-05-15 16:54

@mystery1980: ze heeft nooit een blessure gehad aan haar achterbenen. Voor heeft ze een paar jaar geleden wel een verdikking gehad en dik. Toen ook een scan laten maken, was toen ook prima in orde. Is toch na een paar maanden rust en stappen ook herstelt.

@joolien: ja, je hoort verschillende verhalen. Waarvan ik een e-mail terug kreeg zei ook dat t met paarden met behang of geschoren benen ookal een vertekend beeld geeft. Dus niet echt een optie. Leg dat geld dan liever bij een goede osteopaat en uitverdoven.

femke_harley

Berichten: 3161
Geregistreerd: 13-06-05
Woonplaats: Zwijndrecht

Re: Onregelmatig op beide achterbenen, maar niets te vinden.

Link naar dit bericht Geplaatst door de TopicStarter : 09-05-15 12:46

Ik heb nu contact met een osteopaat. Ik hoop dat hij van de week kan komen. Mocht daar niets uitkomen, dan gaan we toch echt maar uitverdoven. Ben er gister even op gestapt om te voelen hoe ze draaft. Aardig beroerd. In stap zie je echt helemaal niets. Ik twijfel of het niet hoger uit komt. Linkerbeen is binnenste buiten gekeerd (foto's kogel, griffelbeentje, pijpbeen en sprong + een scan). Rechts dan alleen foto's kogel en sprong. Nu dan sinds 1,5 week een verdikking bij het spronggewricht, maar geloof niet dat dat het probleem is. Aangezien ze al 2,5 maand niet goed loopt.

dresjoepie

Berichten: 2594
Geregistreerd: 23-11-13

Re: Onregelmatig op beide achterbenen, maar niets te vinden.

Link naar dit bericht Geplaatst: 09-05-15 13:29

Misschien een goed idee om zijn knie banden ook te checken Dan zijn ze vaak wisselend links of recht niet lekker achter!

Als je door heel zwaar zand loopt draait die dan vanuit zijn hoef zijn been naar buiten?

Nikass

Berichten: 16733
Geregistreerd: 27-04-11

Link naar dit bericht Geplaatst: 09-05-15 14:03

femke_harley schreef:
Met rijden was ze niet anders dan normaal. Het enige wat ik dus merk is bij het aandraven dat ze moeilijk op gang komt en een pas of drie vier onregelmatig loopt en dan hersteld. Dit herhaalt zich bij het aandraven. In stap merk ik niets.

Ik rij overigens alleen nog buiten met haar, dus galopperen doe ik weinig.

Ze is wel wat scheef in haar bekken, maar dat heeft ze al zolang ik haar ken en heb (12 jaar). Nooit klachten gehad. Maar dierenartsen en fysio willen dat niet corrigeren, omdat ze dat al zolang heeft. Overigens nooit klachten gehad ervan. Eerst wel moeilijk aanspringen in de rechtergalop, maar dat is eigenlijk alleen maar beter geworden de laatste jaren.


Ik heb nog niet alles gelezen, maar nav deze post ben ik zeer verbaasd dat je is afgeraden om iets aan het bekken te doen. Lijkt me dat je er een manueel therapeut bijhaalt om eerst dat bekken recht te zetten.

femke_harley

Berichten: 3161
Geregistreerd: 13-06-05
Woonplaats: Zwijndrecht

Link naar dit bericht Geplaatst door de TopicStarter : 09-05-15 14:18

dresjoepie schreef:
Misschien een goed idee om zijn knie banden ook te checken Dan zijn ze vaak wisselend links of recht niet lekker achter!

Als je door heel zwaar zand loopt draait die dan vanuit zijn hoef zijn been naar buiten?


Hoe bedoel je precies? Wat ze wel doet is bijvoorbeeld als ze los staat, haar been laten staan en op haar hoef draaien. Niet extreem hoor. Zo heeft ze ook weleens dat als ze in stal omdraait, ze haar been wel eens laat staan, meer naar buiten gedraaid.

femke_harley

Berichten: 3161
Geregistreerd: 13-06-05
Woonplaats: Zwijndrecht

Link naar dit bericht Geplaatst door de TopicStarter : 09-05-15 14:19

Nikass schreef:
femke_harley schreef:
Met rijden was ze niet anders dan normaal. Het enige wat ik dus merk is bij het aandraven dat ze moeilijk op gang komt en een pas of drie vier onregelmatig loopt en dan hersteld. Dit herhaalt zich bij het aandraven. In stap merk ik niets.

Ik rij overigens alleen nog buiten met haar, dus galopperen doe ik weinig.

Ze is wel wat scheef in haar bekken, maar dat heeft ze al zolang ik haar ken en heb (12 jaar). Nooit klachten gehad. Maar dierenartsen en fysio willen dat niet corrigeren, omdat ze dat al zolang heeft. Overigens nooit klachten gehad ervan. Eerst wel moeilijk aanspringen in de rechtergalop, maar dat is eigenlijk alleen maar beter geworden de laatste jaren.


Ik heb nog niet alles gelezen, maar nav deze post ben ik zeer verbaasd dat je is afgeraden om iets aan het bekken te doen. Lijkt me dat je er een manueel therapeut bijhaalt om eerst dat bekken recht te zetten.



Ja, ze zeiden dat omdat ze al wat ouder is en hier al langere tijd mee loopt maar geen problemen van onder vond. Donderdag a.s. komt de osteopaat dus ik ben erg benieuwd of hij iets kan vinden.